试题详情
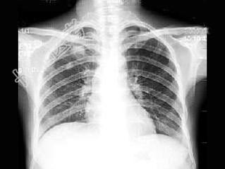
- 单项选择题男,29岁, 体检胸片如图,最可能的诊断是 ( )

A、右上肺炎症
B、右上肺炎性假瘤
C、右上肺结核瘤
D、右上肺肿瘤
E、结节病
关注下方微信公众号,搜题查看答案

热门试题
- 男婴,11月, 咳嗽,结合图像, 最可能
- 与周围型肺癌相比,结核球的CT特点可为
- 关于过敏性肺炎,下列哪项不是其诊断要点
- 男,38岁, 感胸闷气逼2周余,近来加剧
- 男,52岁, 从事矿井工作32年,近几年
- 支持支气管囊肿的影像诊断特征包括(
- 诊断肺动脉栓塞的直接征象是A、患侧肺透亮
- 以下关于对比剂副反应救治的论述哪项是错误
- 下述哪项适合支气管动脉造影检查A、支气管
- 主肺动脉窗层面不包括哪一解剖结构 (
- 肺静脉高压诊断的重要指征是 (
- 继发性肺结核以渗出浸润为主型的X线表现,
- 患者,女, 83岁,胸部CT图像如下。则
- 异物吸入最易进入A、左下叶支气管B、左上
- 诊断肺隔离症最重要的依据是A、隔离肺组织
- 1、肺内容易出现小叶间隔及血管支气管束增
- 肺结核的确诊方法为A、CTB、体层摄影C
- 下列关于淋巴瘤的说法,正确的是A、CT平
- 1、为了明确病情,患者应优先选择以下哪些
- 肺隐球菌病的X线征象有 ( )