试题详情
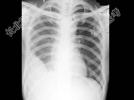
- 单项选择题男,27岁, 近2月来感胸闷,无咳嗽咳痰, 不发热,X线检查如图, 最可能的诊断是 ( )

A、右侧包裹性胸腔积液
B、右侧肺不张
C、右侧游离性胸腔积液
D、右侧膈下脓肿
E、胸膜间皮瘤
关注下方微信公众号,搜题查看答案

热门试题
- 女,33岁, 咳嗽,无发热, 结合图像,
- 关于肺动脉高压的影像学表现,下列描述正确
- 青少年患者,呼吸短促,最可能的诊断是
- 肺动静脉瘘的X线表现中,以哪项诊断价值最
- 胸片上,双侧肺门影增大可见于 (
- 关于大叶性肺炎,说法错误的是A、典型的病
- 诊断肺隔离症最重要的依据是A、隔离肺组织
- 男,62岁, 铸铁工,咳嗽、呼吸急促1月
- 肺放线菌病的特点包括A、可穿透胸壁形成窦
- 中年女性,最可能的诊断为 ( )
- 胸部恶性畸胎瘤MRI提示恶性最重要的指征
- 以下关于膈肌病变的说法,错误的是A、婴儿
- 下列关于支气管囊肿的描述错误的是A、呼吸
- 引起肺脓肿发生的疾病是( )。A、肺
- 胸膜转移瘤的原发肿瘤最多见 (
- 术前胸片示肺内球形影,术中未发现,术后2
- 下列征象中最支持支气管扩张诊断的是
- 下列哪项不是肺癌组织学分型之中的肿瘤类型
- 肺囊肿继发感染时可出现下列哪项征象A、半
- 厚壁空洞和薄壁空洞壁厚的界定标准为A、1