试题详情
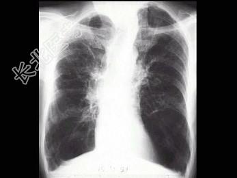
- 单项选择题男,65岁, 呼吸困难伴胸闷1月余,胸片如图, 最可能的诊断为 ( )

A、气胸
B、肺结核
C、慢性支气管炎并肺气肿
D、肺部感染
E、支气管扩张
关注下方微信公众号,搜题查看答案

热门试题
- 正常毛细血管内的静水压为 ( )
- 1、最可能的CT诊断为2、进一步明确诊断
- 28岁,男性,咳嗽,胸闷1月余,持续2周
- 肺结核病变可通过以下方式愈合 (
- 下列哪项是诊断肺癌敏感性最高的检查方法
- 1、本病例最有可能是哪项诊断2、本病例哪
- 1、你认为最可能的诊断是2、该病的特点哪
- 男,20岁, 胸闷、低热1月余,突然咯血
- 大叶性肺炎典型的病理变化分期包括下列哪一
- 下列关于肺转移瘤的描述哪项是错误的
- 1、分析上述病例,你认为最可能的诊断是2
- 关于支气管肺炎,下列说法错误的是A、多见
- 女,2岁, 咳嗽,结合图像, 最可能的诊
- 下列胸腔积液诊断知识,哪项正确 (
- 下列哪种疾病无需CT增强扫描( )A
- 婴儿间质性肺炎最重要的改变是 (
- 结核发病与转归过程中,主要涉及的免疫机制
- 在后前位胸片上哪一叶的肺不张最易显示不清
- 男,48岁, 常感胸闷气逼,近1月渐加重
- 过敏性肺炎主要的X线表现为 (