试题详情
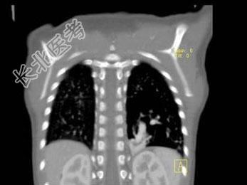
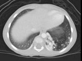
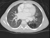
- 单项选择题女,2岁, 咳嗽,结合图像, 最可能的诊断是 ( )

A、先天性肺不张
B、细支气管肺炎
C、先天性支气管闭锁
D、先天性囊性腺瘤样畸形
E、肺隔离症
关注下方微信公众号,搜题查看答案

热门试题
- 有关结节病,正确的是 ( )A、
- 中年女性,咳嗽、胸痛、胸闷1个月余。立位
- 纵隔淋巴结肿大可见于 ( )A、
- 有关系统性红斑狼疮描述,错误的是 (
- 患者男性,20岁。体检发现右肺下叶背段长
- 石棉肺的胸膜改变有 ( )A、
- 右主支气管水平奇静脉直径正常为A、3mm
- 关于慢性肺脓肿空洞的X线表现,正确的是A
- 下述矽肺的间接征象,哪项不对A、肺气肿B
- 患者,男,15岁,低热,胸痛4天,X线胸
- 女,39岁, 咳嗽伴轻微胸痛,CT检查如
- 周围型肺癌的CT图像可见下列哪些特征(
- 下列描述中,错误的是 ( )A、
- 引起纵隔血肿的原因为 ( )A
- 单侧肺透亮度增加,可见于 (
- 关于肺透明膜病,下列观点错误的是 (
- 局限性阻塞性肺气肿,最常见的病因是
- 患者,女, 35岁。体检行胸部CT发现右
- 男,38岁, 反复咳嗽、咳痰伴发热15年
- 女,52岁, 气短3月。胸片显示右上纵隔