试题详情
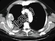
- 单项选择题男,53岁, 胸痛1月余加重2周,CT检查如图, 最可能的诊断为 ( )

A、右侧石棉肺胸膜斑
B、右侧良性胸膜间皮瘤
C、右侧恶性胸膜间皮瘤
D、右侧胸膜转移瘤
E、右侧胸膜弥漫增厚
关注下方微信公众号,搜题查看答案

热门试题
- 男性,56岁。食管癌术后, 胸痛,呼吸困
- 关于干酪性肺炎不正确的描述是 (
- 尘肺中最多见且危害最大者为 (
- 以纵隔7分区为例,下列哪种肿瘤好发生于中
- 支气管扩张的X线平片表现,下列哪项对诊断
- 男,28岁, 胸闷气急,伴干咳, 查体见
- 扫描必须包括上纵隔的疾病是A、甲状腺结节
- 游离性胸腔积液在胸部X线平片上可见到,一
- 有关结节病,正确的是 ( )A、
- 女,19岁, 低热,盗汗, 乏力,咳嗽1
- 女,52岁, 左侧背痛1月,胸部CT如图
- 多房性液气胸的形成原因( )。A、出
- 在纵隔九分区法中,作为中后纵隔分界的是A
- 尘肺的X线描述术语中,错误的是 (
- 乳腺癌的CT表现,正确的是( )。A
- 下列疾病中,哪些钙化少见 (
- 女,45岁, 抑郁嗜睡1月,实验室检查血
- 肺放线菌病的早期X线表现为 (
- 大叶性肺炎是通过什么途径蔓延的A、肺泡壁
- 结节病较少累及的部位为 ( )A