试题详情
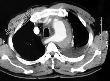
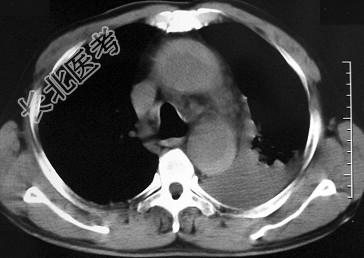
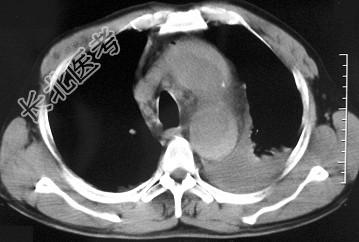
- 单项选择题男,58岁, 有高血压病史,突发胸背剧痛, CT扫描如图,其最可能的诊断为 ( )

A、主动脉瘤
B、主动脉假性动脉瘤
C、主动脉窦瘤破裂
D、高安病
E、主动脉夹层动脉瘤
关注下方微信公众号,搜题查看答案

热门试题
- 患者57岁,男性, 最可能的诊断是
- 不会引起肺内弥漫性钙化的疾病为 (
- 1、患者左侧肺部基本病变为( )。A
- 男,38岁, 咳嗽、胸痛、咯血1天,X线
- 放疗后的MR检查T
- 1、本例最可能的诊断为( )。A、左
- 稳态进动快速成像序列的稳态是指 (
- 气胸的X线表现描述错误的是A、患侧胸部高
- 关于孤立性肺结节,错误的描述是( )
- 关于新生儿肺透明膜病的影像表现,下列描述
- 下列胸腔积液诊断知识,哪项正确 (
- 女,1天早产儿, 呼吸困难、发绀,结合图
- 某女性,30岁, 照片发现右前上纵隔有一
- 肺结核病的全身中毒症状有 (
- 患者,女, 46岁。主因胸闷气短1个月来
- 中量游离性胸腔积液的渗液曲线的形成与下述
- 下列哪项不符合支气管囊肿的CT表现
- 下列关于支气管囊肿的描述错误的是A、呼吸
- 患者,女, 18岁。淋雨后高热,胸片上显
- 胸部恶性畸胎瘤MRI提示恶性最重要的指征