试题详情
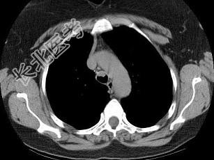
- 单项选择题男,68岁, 呼吸困难、轻度吞咽困难3月余,结合CT图像, 最可能的诊断是 ( )

A、气管乳头状瘤
B、气管脓肿
C、气管炎性假瘤
D、食管癌
E、甲状腺癌
关注下方微信公众号,搜题查看答案

热门试题
- 男,76岁, 咳嗽,呼吸困难半年, CT
- 胸片肋膈角变平变钝积液量约为 (
- “真菌球”是哪种疾病的影像特征A、曲菌病
- 不具有换气功能的解剖结构是 (
- 慢性支气管炎的并发症不常见的是A、肺气肿
- 不符合气管肿瘤的临床X线表现是A、有明显
- 上叶分布为主的肺纤维化见于 (
- 在诊断中心型肺癌方面,MRI表现有
- 形成肺门阴影的主要解剖结构是( )A
- 1、为明确病情,患者应优先选择以下哪些常
- 青年女性,前纵隔囊性肿物, 内有脂肪-液
- 肺门、纵隔淋巴结肿大的标准为直径大于A、
- 男,70岁, 胸痛,不咳嗽、发热, X线
- 患者,男,46岁。发热、咳嗽5天,肺部可
- 男,36岁, 胸痛半月伴发高热,胸片发现
- 1、最可能的诊断是2、为明确诊断,进一步
- 下述肺脓肿的CT、MRI表现特点,错误的
- 纵隔血肿的原因包括A、肺气肿B、主动脉瘤
- X线诊断大叶性肺炎最主要的影像依据是A、
- 肺转移瘤的X线表现是A、肺门区肿块影,可