试题详情
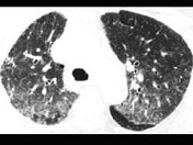
- 单项选择题男,76岁, 咳嗽,呼吸困难半年, CT检查如图,最可能的诊断为 ( )

A、肺结核并肺气肿
B、间质性肺炎
C、矽肺
D、肺部感染
E、农民肺
关注下方微信公众号,搜题查看答案

热门试题
- 男,18岁, 感胸闷气促,胸片检查如图,
- 诊断肺结核最可靠的依据是( )。A、
- 对弥漫性胸膜间皮瘤的叙述哪项错误A、是胸
- 下列疾病中,影像学表现为肺门旁肿块的疾患
- 肺结核的确诊方法为A、CTB、体层摄影C
- 胸片上,双肺弥漫粟粒样阴影可见于 (
- 男,70岁, 以前是管道安装工,有石棉接
- 引起肺脓肿发生的疾病是( )。A、肺
- 下列哪项是诊断肺癌敏感性最高的检查方法
- 男,18岁, 无明显症状,体检行CT检查
- 关于肺癌支气管动脉造影,下述错误的是
- 部位、大小、数目可一日数变的肺气囊是下列
- 下列征象中最支持支气管扩张诊断的是
- 双肺门上方见“鹿角”状改变见于A、支气管
- 下述不引起肺血减少的疾病是 (
- 标准立位胸片,气胸线位于肺野外1/3处,
- 下列肺部病变好发部位的描述,错误的是
- 最常用于肺癌灌注的药物是A、环磷酰胺B、
- 以下哪项较少用于胸部成像A、胸部平片B、
- 系统性红斑狼疮的X线表现有 (