试题详情
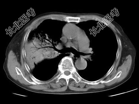
- 单项选择题男,23岁, 高热,咳铁锈色痰, 胸部CT扫描如图,最可能的诊断为 ( )

A、右上肺干酪性肺炎
B、右上肺金葡菌肺炎
C、右上肺大叶性肺炎
D、右上肺中央型肺癌
E、右上肺肺结核
关注下方微信公众号,搜题查看答案

热门试题
- 青年男性,自觉无明显不适, CT示双下肺
- 下列属于周围型肺癌主要征象的是A、分叶征
- 肺内网状、蜂窝状阴影可见于下列哪些病变
- 下述不正确的是A、支气管气像是在肺炎等病
- 诊断肺结核最可靠的依据是( )。A、
- 较少分布于肺野中外带的病变为 (
- 用呼气相X线片诊断有重要价值的疾病是
- 结缔组织疾病的共同特点为 (
- 葡萄球菌肺炎的X线征象是 (
- 纵隔淋巴结肿大可见于 ( )A、
- 下列关于肺癌的国际分期的说法,错误的是(
- 关于胸骨后甲状腺的描述,错误的是 (
- 肺癌支气管动脉造影的异常表现是 (
- 下列关于正常胸部结构MRI表现的说法,正
- 男,38岁, 反复咳嗽、咳痰伴发热15年
- 纵隔淋巴瘤最常累及的部位为A、前纵隔B、
- 右肺门角是哪两种结构的夹角A、右中叶静脉
- 在胸片上不显示蜂窝状影的是 (
- 在诊断中心型肺癌方面,MRI表现有
- 关于一侧肺不发育的X线表现,下列哪项是不