试题详情
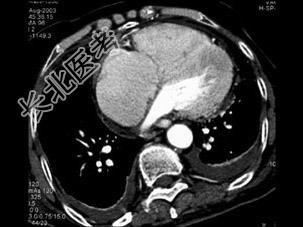
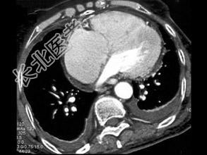
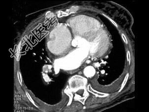
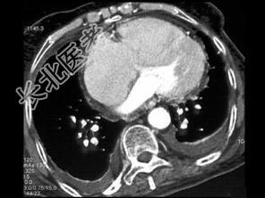
- 单项选择题男,38岁, 反复咳嗽、咳痰伴发热15年余,痰结核菌素试验(—), 结合CT图像,最可能的诊断是 ( )

A、肺癌
B、肺结核
C、肺结节病
D、肺转移瘤
E、肺淀粉样变性
关注下方微信公众号,搜题查看答案

热门试题
- 肺转移病灶主要表现多发性、无钙化、边缘清
- 肺癌可见的转移部位为 ( )A
- 患者,男,23岁。低热,右胸刺痛,活动后
- 患者感觉喉部通气不畅,呼吸短促, 最可能
- 肺动脉栓塞的栓子来源可能是( )A、
- 肺叶外型肺隔离症,错误的是( )。A
- 自发性纵隔气肿可见于 ( )A
- 用胸片估计胸腔积液量,下列描述哪项不对
- 特发性肺间质纤维化好发于 ( )
- 除哪项外,肺泡蛋白沉积症应与下述哪种疾病
- 男,50岁, 慢性支气管炎病史10余年,
- 大叶性肺炎是通过什么途径蔓延的A、肺泡壁
- 下列肺不张会出现“小肺门征”的是A、左肺
- CT在肺癌诊断中的价值是 (
- 胸导管经何横膈裂孔进入胸腔A、下腔静脉孔
- 关于周围型肺癌X线表现,下列哪项描述不对
- 肺癌放射治疗时脊髓受量一般要控制在___
- 中年女性,咳嗽、胸痛、胸闷1个月余。立位
- 右上叶肺不张可出现A、薄饼征B、右上三角
- 下列哪项是诊断肺癌敏感性最高的检查方法