试题详情
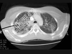
- 单项选择题女,18岁, 1年前患肺结核经抗结核治疗后好转,现发热、咳嗽、体重下降, 结合CT图像,最可能的诊断是 ( )

A、肺结核
B、肺炎
C、肺脓肿
D、肺转移瘤
E、细支气管肺泡癌
关注下方微信公众号,搜题查看答案

热门试题
- 最常用于肺癌灌注的药物是A、环磷酰胺B、
- 下列多发性肺囊肿的X线表现中,错误的是
- 肺结核空洞一般可为A、薄壁空洞B、厚壁空
- HIV患者咳嗽咳痰1个月余,伴发热,结合
- 关于慢性肺脓肿空洞的X线表现,正确的是A
- 关于结节病描述正确的是A、大多数病例愈后
- 男,39岁,突发胸痛,胸片未见异常,胸部
- 下列疾病不易形成肺空洞的为A、原发性肺结
- 有关胸膜的描述哪些是对的 (
- 卡氏肺囊虫病的特点有A、常为双侧性B、白
- 主肺动脉及左、右肺动脉层面,正确的CT表
- 关于继发性肺结核的说法,正确的是A、早期
- 下列说法错误的是 ( )A、急性
- 副癌综合征包括 ( )A、骨关
- 男,53岁, 胸痛1月余加重2周,CT检
- 结核瘤与周围型肺癌的鉴别点,不正确的是A
- 肺转移瘤见不到的X线征象A、多发三角形影
- 关于肺动静脉畸形,下列描述正确的是(
- 下列关于右肺中叶不张的叙述,不正确的是A
- 气胸的X线表现包括A、患侧胸壁下方见无肺