试题详情
- [材料题]
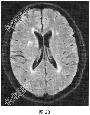
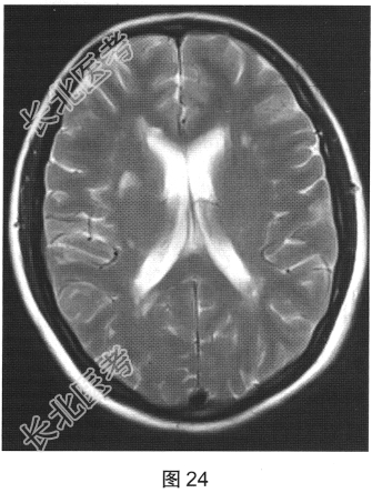
患者女性,40岁,渐进性肢体无力6个月。颅脑MRI检查如图23、图24所示。


- 多项选择题1.根据MRI表现,可能的诊断是( )
A、多发脑缺血
B、脑白质病变
C、脑白质稀疏
D、脑萎缩
E、多发性硬化
F、脑炎
关注下方微信公众号,搜题查看答案

- 多项选择题2.[提示]患者行脊柱MRI平扫及增强检查,如图25、图26所示。关于MRI检查结果, 描述正确的是( )


A、脊髓未见异常
B、颈髓T2WI可见多发片状高信号影
C、脊髓空洞
D、部分胸髓T2WI可见多发片状高信号影
E、脊髓肿胀
F、MRI增强检查可见小片状强化
关注下方微信公众号,搜题查看答案

- 多项选择题3.根据脊髓和颅脑MRI表现,病变应诊断为( )
A、多发脑缺血
B、脑白质稀疏
C、脑白质病变
D、多发性硬化
E、脑炎
F、脑萎缩
关注下方微信公众号,搜题查看答案

- 多项选择题4.下列多发性硬化的描述,不正确的包括( )
A、亚洲患者多为急性或亚急性起病
B、是中枢神经系统第二常见的脱髓鞘性疾病
C、反复发作侧病程新旧程度不一
D、是一种自身免疫性疾病
E、女性多于男性
F、脑脊液免疫球蛋白G的增高是病变活动的生化指标
关注下方微信公众号,搜题查看答案

热门试题
- 静脉窦血栓形成的诱因不包括A、血管畸形B
- 关于“星形胶质瘤”,下列描述哪项不对
- 患儿,女, 14岁。车祸致头颅外伤3天。
- 下列关于颅内动脉瘤的叙述,不正确的是(
- 头颅平片上可见到下列哪些结构的压迹A、脑
- 成人,外伤后1小时, CT检查如图,最可
- 女,38岁, 闭经、嗜睡、尿多、视物模糊
- 正中孔梗阻引起扩张的脑室是 (
- 椎管内神经鞘瘤的X线表现包括A、脊髓造影
- Sturge-Weber综合征的面部血管
- 男性脑转移瘤最多来自于哪种原发肿瘤
- 居大脑半球内呈条带状相互交错的钙化见于A
- CT示左矢状窦旁高密度结节,宽基底附着于
- 关于脊柱CT扫描技术的叙述,正确的是(
- 关于Galen静脉瘤,下列CT特征哪项不
- 1、可能的诊断为2、关于该病的描述,错误
- 结节性硬化的特征性钙化结节发生在 (
- 有关大脑半球各叶分界的描述,错误的是A、
- 非典型脑脓肿的CT表现中,不包括以下哪项
- 以下关于脊柱CT平扫技术,叙述正确的是(