试题详情
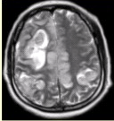
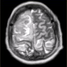
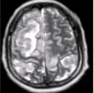
- [材料题] 女性,产后癫痫、剧烈头痛1天,意识障碍3小时。MRI显示如下图。

- 多项选择题1.关于MRI表现的描述,正确的是
A、双侧额叶、顶叶皮质肿胀,脑沟变浅
B、病变同时累及皮质及皮质下白质
C、上矢状窦流空信号消失
D、病变占位效应明显
E、病变信号均匀
F、病变邻近脑膜增厚
关注下方微信公众号,搜题查看答案

- 多项选择题2.可能的诊断是
A、静脉窦闭塞
B、高灌注脑病
C、脑梗死
D、脑炎
E、脑水肿
F、脑出血
关注下方微信公众号,搜题查看答案

- 多项选择题3.为进一步明确诊断,下一步的检查方法首选
A、MRV
B、MR增强
C、CT
D、CT增强
E、CT灌注
F、MRS
关注下方微信公众号,搜题查看答案

- 多项选择题4.静脉窦闭塞与高灌注脑病的鉴别要点包括
A、高灌注脑病表现为顶、枕叶皮质下弓形纤维的水肿
B、高灌注脑病DWI和ADC均表现为高信号,提示病变为血管源性水肿
C、高灌注脑病经治疗后很快恢复
D、静脉窦闭塞表现为静脉的流空信号消失,相应引流区域水肿、出血
E、MRV可对两者做出鉴别诊断
F、静脉窦闭塞脑实质的并发症主要位于闭塞部位的引流区
关注下方微信公众号,搜题查看答案

- 多项选择题5.有关静脉窦闭塞的影像学表现,正确的是
A、平扫CT或增强MR显示空三角征
B、好发于上矢状窦,其次为横窦、乙状窦
C、脑组织的病理改变与静脉窦和脑静脉的阻塞程度以及是否建立有效的侧支循环无关
D、50%的患者合并静脉性梗死
E、怀疑静脉窦闭塞,首先行MRV检查
F、静脉内充盈缺损,均提示静脉窦闭塞
G、乙状窦为最常见的先天性发育不良的位置
关注下方微信公众号,搜题查看答案

热门试题
- 女性,43岁, 头痛、发热5天。CT平扫
- MRI检查中显示瘤体内出现无信号的空气,
- 男,7岁, 癫痫间歇性发作3个月余,面部
- 有关脑动静脉畸形CT表现的描述,下列哪项
- 间质性脑水肿的特点是A、脑室压力增高所引
- CT表现为脑基底池增强的炎性病变通常不包
- 硬膜下血肿常表现为下列哪种形态A、棱形B
- 老年男性,头痛3个月, 并左侧肢体肌力减
- 最有利于脑外肿瘤定位的CT表现为 (
- 神经纤维瘤MRI信号多表现为 (
- 结节性硬化的CT特征,不正确的是A、CT
- 男,18岁, 角膜有K-F环,结合所提供
- 如图箭头所示为小脑哪个部位 (
- 男,49岁, CT示颅后窝水样低密度灶,
- 男,59岁, 右眼视力缺陷,结合图像,
- 男,49岁, 头痛、左侧肢体不能活动1周
- TORCH综合征包括下述哪些疾病 (
- 头颅CT所示与肿瘤无关的是下列哪项
- 轴位图像上,以下哪项为幕下肿瘤征象A、小
- 鞍区CT扫描可以诊断的疾病不包括(