试题详情
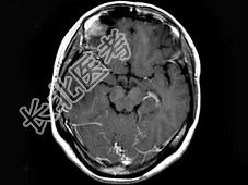
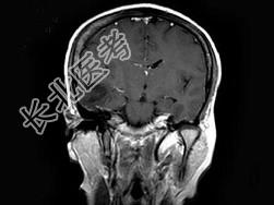
- 单项选择题女,25岁, 头痛3个月,头颅MRI平扫及增强扫描如图, 最可能的诊断是 ( )

A、星形细胞瘤
B、病毒性脑炎
C、血吸虫性脑病
D、脑膜瘤
E、未见异常
关注下方微信公众号,搜题查看答案

热门试题
- 男,32岁, 头痛呕吐半个月,MRI检查
- 颅脑CT增强扫描,一般作为判断增强效果优
- 脑出血的CT值一般不会超过A、64HuB
- 提示颅底骨折的CT征象是A、硬膜外血肿B
- 能产生脑脊液的是A、侧脑室B、第三脑室C
- 鞍区动脉瘤与脑膜瘤的鉴别要点不包括A、脑
- 正中孔梗阻引起扩张的脑室是 (
- 毛发细胞型星形细胞仅见于哪级星形细胞瘤
- X线平片上见到颅内有病理性钙化灶可能是A
- Alzheimer病应与哪些疾病作鉴别
- 以下关于颅脑MRI检查技术的叙述,正确的
- 额窦、蝶窦、筛窦的最佳摄影位置分别是(
- 下列病变中,哪种罕有出血 ( )
- CT图像中脑肿瘤的间接征象不包括A、灶周
- 脑囊虫病分型,错误的是A、脑实质型B、脑
- 在下列哪种疾病中有"球内钙化"表现的是A
- MRI上,有出血的脑转移癌常提示肿瘤来自
- 结节性硬化的CT特征,不正确的是A、CT
- 关于脊柱CT扫描技术的叙述,正确的是(
- 中枢神经系统以外的肿瘤脊髓转移最主要的方