试题详情
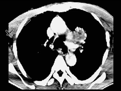
- 单项选择题男,58岁, 头痛、恶心、行走不稳,肺和脑CT检查如图, 最可能的诊断为 ( )

A、星形细胞瘤
B、脑脓肿
C、肺癌脑转移
D、脑膜瘤
E、脑梗死
关注下方微信公众号,搜题查看答案

热门试题
- 经眶上裂出入颅的结构有A、视神经B、动眼
- 在脑梗死与脑水肿的鉴别中,哪种CT表现更
- 男,37岁, 肢体活动不利、酸胀1年余,
- 发生于脊髓内常见肿瘤为 ( )
- 脑池是A、蛛网膜与硬脑膜之间的间隙B、蛛
- 女,64岁, 发作性意识丧失,左侧肢体无
- 女,56岁, 有癫痫史,结合MRI图像,
- 提示颅底骨折的CT征象是A、硬膜外血肿B
- 关于三叉神经瘤描述,下列哪项是错误的
- 脑颜面血管瘤综合征患者,颅内钙化,多位于
- 在MRI图像上下列哪种肿瘤看不见化学位移
- 以下属于脑膜瘤的典型CT表现的是(
- 头颅外伤2天,CT示蝶窦有气液平面,颅内
- 星形细胞瘤的CT表现为 ( )A
- 消除截面伪影的方法有A、增加矩阵大小B、
- CT鉴别小脑星形细胞瘤与血管网状细胞瘤的
- 女,10岁。头颅进行性异常增大, 与身体
- 男,8岁, 1周前出现头痛、呕吐,根据所
- 非典型脑脓肿的CT表现中,不包括以下哪项
- 下列哪种疾病,不会出现“中脑导水管狭窄”