试题详情
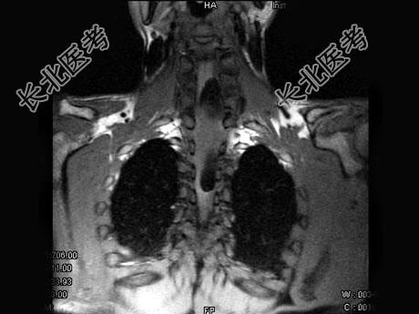
单项选择题男,37岁, 肢体活动不利、酸胀1年余,MRI扫描见椎管内长条形T1和T2高信号, 脂肪抑制序列呈低信号,应考虑为 ( )

A、椎管内脂肪瘤

B、室管膜瘤

C、椎管内血肿

D、椎管内转移瘤

E、未见异常

  • 关注下方微信公众号,搜题查看答案

热门试题