试题详情
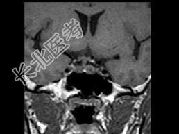
- 单项选择题女,25岁, 双侧泌乳,月经不调半年, 服药效果不佳,根据所提供图像, 最可能的诊断是 ( )

A、正常垂体
B、Rathke囊肿
C、鞍内颅咽管瘤
D、鞍内结核
E、垂体微腺瘤
关注下方微信公众号,搜题查看答案

热门试题
- 脑梗死分布的依据是( )。A、脑实质
- 豆纹动脉由哪一支动脉发出A、颈内动脉B、
- 男,27岁, 头痛、双眼视力下降、多饮、
- 男,32岁, 有头颅外伤史,结合CT图像
- 患者,男, 30岁,癫痫3个月。CT示左
- 1、该患者最可能诊断为2、对于该患者首选
- 脑囊虫死亡后,MRI表现出的征象下列表现
- 女,43岁, 头痛。CT示左颞叶有一3c
- MRIGd-DTPA检查脑囊虫病可表现为
- 中枢神经系统放疗常用体位是A、仰卧位B、
- 以下哪一项是硬膜下血肿的CT征象A、颅骨
- 女,42岁, 经常头痛,近两个月出现抽搐
- 蛛网膜下腔出血首选的检查方法应为A、MR
- 胶质母细胞瘤的鉴别诊断包括 (
- 哪一项不是畸胎瘤的特征性CT表现A、瘤体
- 女,38岁, 有癫痫发作史,面部有皮脂腺
- 关于听神经瘤的CT表现,下述不正确的是
- 关于烟雾病,下列正确的是A、反复发作、单
- 小脑的血供主要来自A、大脑中动脉B、大脑
- 最常见的神经上皮源性肿瘤占神经上皮源性肿