试题详情
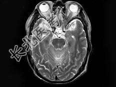
- 单项选择题男,55岁, 头痛40余天,呕吐2天伴共济失调。化验检查: 脑脊液蛋白:2006mg/l, 细胞数60个/mm3MRI平扫显示不佳,增强扫描后见脑膜强化及脑内小结节状强化以脑膜强化为明显, 据此最可能的诊断为 ( )

A、化脓性脑膜脑炎
B、结核性脑膜脑炎
C、病毒性脑炎
D、颅内真菌感染
E、未见异常
关注下方微信公众号,搜题查看答案

热门试题
- 颅骨骨折的分型为A、线样骨折、凹陷骨折、
- 怀疑癌性淋巴管炎的病人,CT检查应采用的
- 外伤性CCF是指 ( )A、颈
- 男,12岁, 头痛、呕吐2周。CT示第四
- 女,34岁, 颈痛半年,结合MRI检查,
- 在颅脑MRI横断图像上,根据以下特点可准
- 女,1岁, 发育低于同龄幼儿,CT检查如
- 脑血管畸形包括A、动脉瘤B、静脉瘤C、海
- 男,25岁, 间歇性头痛5年余,近年有时
- 男,15岁, 头痛、呕吐数天,生活在疫区
- “脑包虫病”诊断要点,下述哪项错误
- 1、初步诊断为( )。A、脑星形细胞
- 垂体瘤的CT表现正确的是A、蝶鞍扩大B、
- 硬膜外血肿MRI表现中,下列描述哪项有错
- 关于颅内表皮样囊肿的描述,错误的是A、好
- 男,42岁, 头晕视物旋转,面部麻木半月
- 女,43岁, 头痛。CT示左颞叶有一3c
- 半月裂 ( )A、位于钩突之上,
- 生殖细胞瘤发生在颅内不同部位,有哪几种类
- 以下对颅脑MRI检查技术的叙述,正确的是