试题详情
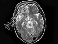
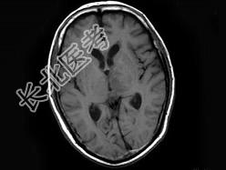
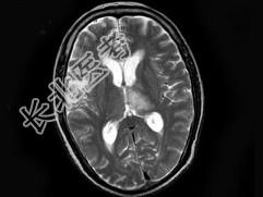
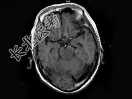
- 单项选择题男,70岁, 头痛,嗜睡伴癫痫发作2次, 行MRI平扫及增强扫描见颅内多发病灶,曾行放射治疗, 病灶明显缩小(此图为治疗前图),据此最可能的诊断为 ( )

A、颅内转移瘤
B、淋巴瘤
C、胶质瘤
D、血管瘤
E、未见异常
关注下方微信公众号,搜题查看答案

热门试题
- 诊断三叉神经瘤最有意义的表现是A、内听道
- 先天性颅脑闭合畸形,不包括 (
- 男,65岁, 右侧肢体力弱,CT示左额顶
- 如图箭头所示为视觉系统哪个部位 (
- 病人眩晕,CT示左侧桥脑小脑角池内低密度
- 下列可能多发的脑原发肿瘤是 (
- 男,42岁, 头痛1个月余,MRI检查如
- 颅骨弥漫性“竖发”表现,最常见于下列哪种
- 下列影像学表现中,属于典型的动静脉畸形表
- TORCH综合征包括下述哪些疾病 (
- MRI图像上有钙化的少突神经胶质瘤需要与
- 关于髓母细胞瘤,下列说法正确的是A、起源
- 男,8岁, 出生9个月后常出现发作性癫痫
- CT鉴别小脑星形细胞瘤与血管网状细胞瘤的
- 关于扩大的血管周围间隙,错误的描述是(
- 下列颅内肿瘤最易合并出血的是 (
- 关于"Chiari畸形"分型,下列描述正
- 男,30岁,头颅CT示左小脑半球一3cm
- 女,38岁, 右眼视力失明2年,左眼视力
- 男,49岁, 1年前发现双颞侧视野缺损,