试题详情
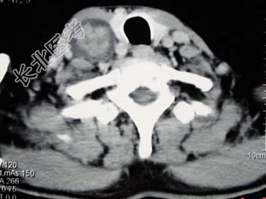
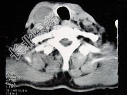
- 多项选择题男性,70岁, 右侧颈部无痛性肿块3个月,CT扫描如图所示, 请选择正确的描述和答案 ( )



A、右颈动脉间隙内见类圆形软组织肿块影,密度欠均匀,边缘光整
B、右侧颈静脉被推压至肿块外后方
C、右侧颈动脉被推压至肿块内后方
D、考虑迷走神经源性肿瘤
E、考虑交感神经源性肿瘤
关注下方微信公众号,搜题查看答案

热门试题
- 男,24岁,因车祸出现左眼睑肿胀,皮下出
- 咽鼓管的生理功能有误的是 ( )
- 中鼻甲平面以下的严重鼻出血,鼻腔填塞无效
- 构成咽淋巴环内环的结构包括 (
- 通常所指的言语频率是A、250Hz以下B
- 鼻咽纤维血管瘤患者的检查应除外 (
- 鼻骨骨折的治疗原则是A、抗炎治疗B、鼻腔
- 闭合性喉外伤需外科手术修复喉内损伤,最佳
- 迷路炎治疗原则错误的是哪项 (
- 鼓窦入口位于鼓室的A、前壁B、上壁C、下
- 临床上常作为辨认椎骨序数的标志是 (
- 15岁,男性, 渐进性鼻塞1年余,MRI
- 下列喉部组织中,无鳞状上皮被覆的是A、室
- 有关声波的叙述,不正确的是 ( )A、能
- 患者,男,15岁,以"右侧鼻腔反复出血伴
- 单位时间内声波作用在与其传递方向垂直的单
- 诊断囊状水瘤较为简便有效的方法为 (
- 男性,19岁, 左侧鼻腔反复出血一年余,
- 下列有关喉癌淋巴结转移描述,错误的是A、
- 上颌窦癌患者出现张口困难,提示肿瘤侵及A