试题详情
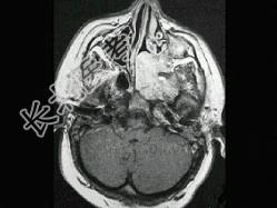
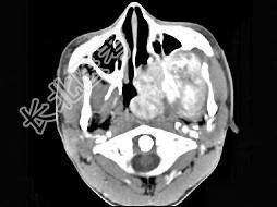
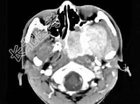
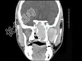
- 单项选择题男性,19岁, 左侧鼻腔反复出血一年余,CT、MRI扫描如图所示, 请选择最可能诊断 ( )




A、鼻息肉
B、鼻咽腔脓肿
C、鼻咽部青年纤维血管瘤
D、鼻咽癌
E、鼻咽部淋巴瘤
关注下方微信公众号,搜题查看答案

热门试题
- 有关咽痛的症状不正确的是 ( )
- 额窦炎向后壁扩散可形成 ( )A
- 临床上存在不可察觉的鼻音异常的疾病是A、
- 女,17岁, 鼻阻塞、头痛两年.如图所示
- 中耳有肉芽和脓液,高热、剧烈头痛、喷射状
- 施行气管插管和气管支气管镜检查经过喉部时
- 以下不属于鼓膜表面标志的是A、匙突B、锤
- 能提示乙状窦血栓性静脉炎诊断的试验是
- 构成咽淋巴环内环的结构包括 (
- 单侧嗅觉丧失提示脑脊液鼻漏位于 (
- 关于分泌性中耳炎的临床表现,叙述错误的是
- 男,24岁,因车祸出现左眼睑肿胀,皮下出
- 患者男,15岁,鼻咽纤维血管瘤患者,该病
- 扁桃体的主要功能是A、内分泌功能B、发音
- 除药物外,下列哪项可引起听觉损害的因素还
- 下列哪项不是药物性聋特征 ( )A、症状
- 面瘫患者表现为患侧面肌运动丧失,病侧无听
- 在正常的鼻窦MRI图像上,窦壁黏膜表现为
- 关于鼻咽纤维血管瘤下列说法不相符的是
- 下列关于急性型咽后脓肿的处理,哪一项不正