试题详情
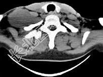
- 单项选择题女,47岁, 下颈部触及一包块约五年余,CT如图所示, 最可能诊断为  (    )    
- A、滑膜肉瘤 
- B、血管瘤 
- C、神经鞘瘤 
- D、副神经节瘤 
- E、巨淋巴结增生症 
- 关注下方微信公众号,搜题查看答案 
 
热门试题
- 鼻炎的病原微生物主要是 ( )A、鼻病毒
- 老年男性患者,进行性声嘶1个月,咽部异物
- 患者,男, 55岁,后鼻镜检查发现鼻咽顶
- 关于咽后脓肿描述对的是 ( )A、最常见
- 耳后骨膜下脓肿可继发于下列哪种疾病A、外
- 声反射衰减阳性见于A、传导性病变B、蜗性
- 判断外周前庭功能状况的主要定位方法是A、
- 鼻中隔脓肿如未及时诊治,最可能出现的严重
- 双侧软腭瘫痪的临床表现不包括 ( )A、
- 1、最可能的诊断是2、诊断依据是3、不合
- 1、最不合理的术前判断是2、为较好显示迷
- 以下哪项不是扁桃体周围脓肿病程中和治疗中
- 鼻腔鼻窦癌的治疗原则是:( )A、同步
- 发生在REM期的微觉醒最显著的PSG改变
- 男性38岁,左侧腮腺渐进性肿大一年, 无
- Bezold脓肿,又称为 ( )
- 甲状腺手术时,常作为寻找喉返神经的解剖标
- 1、最可能的诊断是2、可作为确诊依据的检
- 有关急性扁桃体炎下列哪项描述是错误的
- 有关鼻的胚胎发育,下列哪项是对的 (