试题详情
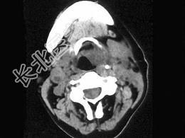
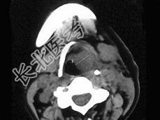
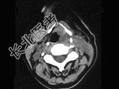
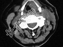
- 单项选择题女,54岁, 鼻咽部异物感约3个月,PE: 左侧声带固定,可见肿物, CT如图所示,应诊断为 ( )




A、喉部乳头状瘤
B、喉癌
C、喉部血管瘤
D、慢性增生性喉炎
E、增生型喉结核
关注下方微信公众号,搜题查看答案

热门试题
- 锤骨头在胚胎发育中来自A、赖歇特软骨B、
- 男,35岁, 头部外伤后鼻腔有清亮液体流
- 关于耳蜗感音功能的叙述正确的是 ( )A
- 在喉镜检查中,如用探针触及喉粘膜,患者无
- 常见的中耳畸形一般分为4类,以下属于常见
- 不会致咽旁脓肿的是 ( )A、邻
- 20岁,自觉左面部胀痛, 伴左侧上列牙痛
- 关于外中耳发育,错误的是A、外中耳畸形由
- 关于咽旁间隙肿瘤,下列说法正确的是A、绝
- Messerklinger术式程序的第一
- 年轻人屡次发作严重动脉性鼻出血,且伴有血
- 下列选项中,不属于耳毒性药物的是A、顺铂
- 下呼吸道分泌物潴留而致呼吸衰竭时,动脉血
- 气管切开后如术腔出现大出血,应立即 (
- 由于上皮向鼓室或鼓窦生长移行所形成的胆脂
- 40岁,女性患者, 双侧甲状腺肿大,CT
- 阻塞性睡眠呼吸暂停低通气综合征的病因包括
- 鼻源性头痛的敏感部位依次为 (
- 1岁女孩,左耳垂下进行性增大肿块3个月,
- 在解剖上,咽隐窝位于 ( )A、