试题详情
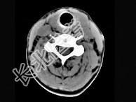
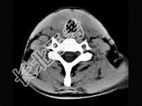
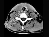
- 单项选择题40岁,女性患者, 双侧甲状腺肿大,CT扫描如图所示, 请选择最佳答案 ( )



A、弥漫性甲状腺肿
B、甲状腺癌
C、甲状腺炎(桥本)
D、亚急性甲状腺炎
E、甲状腺瘤
关注下方微信公众号,搜题查看答案

热门试题
- 对于鼻咽纤维血管瘤患者,以下哪一项检查不
- 关于食管中段异物,有误的是A、是指嵌顿于
- 哪项不是小儿急性喉炎的主要症状A、声嘶B
- 下列哪一项不是植物性气管、支气管异物可能
- 下列哪几项不是食管异物的并发症 (
- 患者男,15岁,鼻咽纤维血管瘤患者,该病
- 治疗慢性喉炎的首要治疗措施是 (
- 以下关于急性乳突炎说法,错误的是A、急性
- 药物性鼻炎发生的主要机制是A、鼻腔滴用的
- 总和电位来源于 ( )A、耳蜗毛
- 临床最常见的耳毒性抗生素是A、氨基糖苷抗
- 伽玛刀治疗的主要优点是 ( )A
- 如怀疑脑脊液鼻漏,鼻分泌物中的糖含量应大
- 腮腺鞘是由下面哪一层筋膜包裹而成 (
- 男,74岁, 咽喉部不适一年余,近两三个
- 颞骨脑膜脑膨出最常见的症状为:( )A
- 可发生颈部淋巴结肿大的疾病有A、扁桃体癌
- 在Cotton分类法中,如果声门下区出现
- 1、该患者最可能的诊断是2、该患者禁忌采
- 年轻人屡次发作严重动脉性鼻出血,且伴有血