试题详情
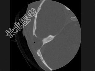
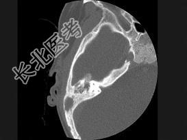
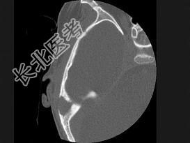
- 单项选择题女性,17岁, 右耳乳突区隐痛,右耳后乳突区出现包块, 逐渐增大,CT检查如图所示, 请选择最可能的 ( )




A、胆脂瘤
B、化脓性中耳炎
C、嗜酸性肉芽肿
D、中耳癌
E、听神经瘤
关注下方微信公众号,搜题查看答案

热门试题
- 下列耳聋相关基因中,与大前庭水管综合征关
- 与成人喉炎相比,小儿急性喉炎最大的特点为
- 不属于茎突后间隙的是A、迷走神经B、下颌
- 对腭扁桃体的描述可为 ( )A、
- 男,53岁, 近两年来渐进性头痛,伴左眼
- 耳廓由第几鳃弓融合而成 ( )A
- 开放性气管损伤的治疗措施包括 (
- 由于妊娠母体因素或分娩因素引起的听力障碍
- 舌咽神经鼓室支(Jacobson神经)通
- 关于鳃裂畸形,叙述错误的是A、是先天性疾
- 下咽癌颈淋巴结转移中50%~60%转移至
- 1、不必要采取的检查方法为2、最符合下列
- 急性耳鸣是指多长时间内发生的耳鸣A、1周
- 行纤维鼻咽镜检查时,如为腺样体肥大则可见
- 下列开放性喉外伤的处理不恰当的是A、及早
- 颞叶脑膜膨出常见的并发症包括:( )A
- 伽玛刀治疗的主要优点是 ( )A
- 1、患者最可能的诊断是2、要明确诊断,应
- 关于胆固醇肉芽肿病理的说法,错误的是A、
- 患儿,男,4岁,睡眠时打鼾1年余,夜间睡