试题详情
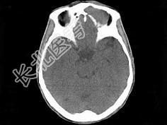
- 单项选择题男,53岁, 近两年来渐进性头痛,伴左眼球外突, 并向前下方移位,CT检查如图, 最可能诊断为 ( )




A、额窦炎症
B、左额窦癌
C、左额窦黏液囊肿
D、眶内炎性假瘤
E、眼格氏病
关注下方微信公众号,搜题查看答案

热门试题
- 中枢前庭病变包括:( )A、小脑脓肿B
- 1、最可能的诊断为2、对明确诊断最有价值
- 患者,女, 24岁,妊娠6周后出现鼻塞,
- 下面哪种疾病可以引起喉关节炎 (
- 关于颈静脉球体瘤的描述下面哪几项是正确的
- 引起搏动性耳鸣的内科疾病有哪些?( )
- 鼻咽癌的治疗中,错误的是A、放射治疗为首
- 以下不是感音神经性听力损失主要病因的是A
- 鼻中隔手术的适应证有A、患者鼻部不适,涕
- 鼻腔良性肿瘤中易复发、易恶变的是A、血管
- 有关突发性聋使用降低纤维蛋白原治疗的说法
- 下列关于上切牙至食管各个平面距离的数据中
- 患者最近因故右侧颜面神经麻痹,但纯音检查
- 环甲动脉的来源于 ( )A、喉上
- 眶内蜂窝织炎可有 ( )A、视力
- 鼻咽部淋巴引流至 ( )A、颌下
- 关于甲状舌管囊肿及瘘管,正确的是A、常位
- 关于皮样囊肿以下正确的是A、位于颈前正中
- “平衡三联”是指 ( )A、耳鸣
- 舌咽神经鼓室支(Jacobson神经)通