试题详情
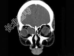
- 多项选择题女性38岁,右侧眼球运动障碍伴眼球突出4个多月, CT扫描如图,请选择正确的描述和答案 ( )




A、右侧筛窦内可见囊性肿块影,边缘光整
B、囊性肿块向右侧眼眶内突入,压迫内直肌
C、右侧眶内壁呈受压变薄、断裂
D、考虑为右侧筛窦黏液囊肿
E、考虑为筛窦癌
关注下方微信公众号,搜题查看答案

热门试题
- 临床上急性喉炎的治疗措施为 (
- 下面哪种疾病可以引起喉关节炎 (
- 控制变应性鼻炎症状的主要局部用药是 (
- 在鼓膜后上象限出现透见鼓岬骨膜显著充血而
- 患儿,男, 2个月,高热, 烦躁不安,左
- 1、应进一步作哪项检查来明确诊断2、若活
- 鼻腔在24小时内排出水分是多少 (
- 常见鼻源性颅内并发症不包括A、硬脑膜外脓
- 1、为明确诊断,入院后应立即进行的辅助检
- 气管闭合性损伤可出现 ( )A、
- 隐性鼻咽癌可描述为 ( )A、颈
- 第2鳃裂瘘管外瘘口多位于 ( )
- 患儿,2岁,夜间睡眠中突然惊醒,有轻度吸
- 17岁男性,左侧上睑下垂, CT检查如图
- 青年女性,咽异物感1年, 环状软骨左下方
- 关于Tobey-Ayer试验,错误的是A
- Levenson诊断恶性外耳道炎的标准包
- 关于砧骨豆状突叙述正确的是 (
- 关于恶性肉芽肿的叙述,正确的是 ( )A
- 中耳癌患者行颞骨次全切除术保留的部位是A