试题详情
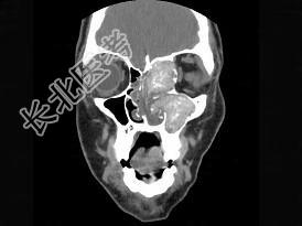
- 多项选择题17岁男性,左侧上睑下垂, CT检查如图所示,请选择正确的描述或诊断 ( )

A、左侧上颌窦、筛窦内见软组织块影
B、左侧上颌窦窦口扩大
C、鼻中隔、左侧眶内壁、上颌窦内侧壁骨质破坏
D、考虑为真菌性副鼻窦炎
E、考虑为细菌性副鼻窦炎
关注下方微信公众号,搜题查看答案

热门试题
- 自发性的脑膜脑组织向中耳-乳突腔的疝出可
- 下列哪项描述有误 ( )A、感音
- 由蝶骨翼突内侧缘、腭骨水平部后缘、犁骨后
- 患者,男,35岁,鼻塞、流浓涕、嗅觉减退
- 上颌动脉在翼腭窝内相继分出以下哪些分支A
- 控制咽峡的启闭、上提软腭的肌肉包括 (
- 以下哪种情况应该行支气管镜检查 (
- 在人类听觉范围内,耳内肌对大部分频率都可
- 采用颅外法手术治疗脑膜脑膨出时可行A、切
- 筛漏斗的内界为 ( )A、筛泡B
- 成人耳源性颞叶脓肿穿刺深度不应超过 (
- 最不易引起食管腐蚀伤的是A、硫酸、硝酸、
- 青年女性患者,右耳持续流脓6个月, 脓液
- 关于咽鼓管的解剖,错误的是A、由骨部和软
- 声门下区的淋巴引流一般不注入的淋巴结是
- 1、下列处理方法不恰当的是2、下列紧急措
- 除药物外,下列哪项可引起听觉损害的因素还
- 关于坏死性外耳道炎,下列哪项错误 (
- 鼻中隔血肿和鼻中隔脓肿的鉴别方法是A、B
- 下列哪项不属于腺样体面容的特征性表现A、