试题详情
- [材料题] 患者女,35岁。因阴道疼痛伴白带增多3天就诊。患者3天前突感小腹不适白带量多,呈黄色,带臭味,伴尿频和尿痛。查体:右侧大阴唇下1/3处有一核桃大结节,压痛明显,稍有波动感。阴道黏膜充血,触痛明显。宫颈轻度糜烂白带多,呈黄色,部分为脓样并有臭味。一周前有不洁性交史,否认有梅毒等其他性病史,余无异常。实验室检查:取阴道分泌物检查,pH为5.5,分泌物加10%KOH溶液时有明显的鱼腥气味,阴道清洁度为Ⅳ度。余无异常。
- 简答题1、请问接诊该病人后,应进行的检查有?
关注下方微信公众号,搜题查看答案

- 简答题2、请问正常阴道分泌物存在的有形成分是?
关注下方微信公众号,搜题查看答案

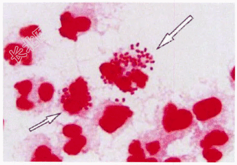
- 简答题3、该患者阴道分泌物涂片后行革兰染色结果如图所示,图中可见的有形成分有?

关注下方微信公众号,搜题查看答案

- 简答题4、为进一步确证革兰阴性双球菌,可做的实验室检查有?
关注下方微信公众号,搜题查看答案

- 简答题5、提示:取宫颈分泌物送检微生物实验室培养,其培养报告为淋病奈瑟菌。请问该细菌的特点有?
关注下方微信公众号,搜题查看答案

- 简答题6、请问淋病奈瑟菌治疗方法有哪些?
关注下方微信公众号,搜题查看答案

热门试题
- 1、此患者最有可能的临床诊断是什么?2、
- 1、该患者的诊断是什么?2、对该病的诊断
- 1、根据患者的症状和实验室检查结果,你认
- 1、根据上述病史及体征,你认为该患者最可
- 1、该患者最可能的诊断为什么?2、该患者
- 1、根据上述关节腔积液检查结果,初步判断
- 1、该患者最可能的诊断是什么?2、为明确
- 1、根据以上体征,该患者可能患的疾病是什
- 1、导致化脓性感染的病原体可能是什么?2
- 1、该案例的诊断依据是什么?2、为什么该
- 1、患者可能存在消化道出血,该患者出血量
- 1、本例最可能的诊断是什么?2、哪项实验
- 1、为什么在怀疑自身免疫性疾病时需要进行
- 1、根据上述患者的临床表现和初步实验室检
- 1、结合现有资料,患者初步诊断疾病及依据
- 1、为什么在睾丸癌的初步诊断中,医生会建
- 1、针对该患者的初步诊断可能是什么?2、
- 1、若ASO检查阳性,最可能的诊断是什么
- 1、患者最可能的诊断是什么?2、若进一步
- 1、根据提供的信息,李女士可能患有的自身