试题详情
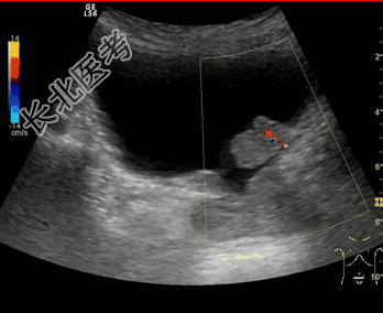
- [材料题] 患者男,72岁,因“无痛性血尿2周”来诊。超声(见下图):膀胱三角区低回声区,约20 mm×25 mm,不随体位改变而移位,形态欠规则,低回声区内见点状血流信号,基底附着处膀胱壁肌层显示不清,但外界膜显示尚清晰,膀胱充盈时肿物不向外膨出。

- 简答题1、根据声像图初步分期为?
关注下方微信公众号,搜题查看答案

- 简答题2、如要进一步确定肿瘤的分期,应检查?
关注下方微信公众号,搜题查看答案

热门试题
- 1、超声诊断最可能是什么?2、还需要进行
- 1、患者入院后应常规检查?2、[提示]实
- 1、HLHS的胎儿超声心动图诊断特点有哪
- 1、淋巴结结核的病理改变是什么?2、淋巴
- 1、提示:如该患儿心电图显示ST-T段改
- 1、该病患考虑诊断为 ?2、脾淋巴瘤的超
- 1、该患者可能的诊断是?诊断依据是?2、
- 1、患者的诊断及超声依据是什么?2、唇腭
- 1、该患者的超声诊断是什么?2、右室双出
- 1、该患者应进行的检查包括?2、辅助检查
- 1、提示 超声:考虑为腮腺良性淋巴上皮
- 1、请解释肺动脉高压的定义及其分类。2、
- 1、睾丸扭转的主要声像特点是什么?2、睾
- 1、患者的诊断考虑为?2、为明确诊断,除
- 1、门静脉高压症的三大临床表现有?2、患
- 1、患者的诊断是什么?2、膀胱憩室的特征
- 1、需要进一步了解的病史和实验室检查包括
- 1、法洛四联症的临床表现和病理有?2、需
- 1、该患者诊断为,诊断依据有哪些?2、首
- 1、最可能诊断为什么?2、如何治疗?3、