试题详情
- [材料题] 一、病历资料
1.病史
患者,女性,39岁,因“体检发现右卵巢囊性占位1年,进行性增大5个月”就诊。自诉既往无明显不适,月经规则,无腹痛,无阴道异常出血。
2.体格检查
患者子宫前位,正常大小,活动好,无压痛;右侧附件区扪及肿块,大小5cm×3cm×4cm,质软,表面光滑,无压痛,活动度好;左侧附件区未及包块,无压痛。
3.实验室检查
CA125、CA199(-)。
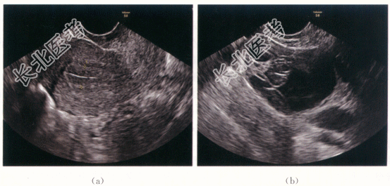
二、影像资料

- 简答题1、患者的诊断及超声依据是什么?
关注下方微信公众号,搜题查看答案

- 简答题2、卵巢囊实混合性肿块有哪些疾病,各自有什么声像图特征?
关注下方微信公众号,搜题查看答案

- 简答题3、卵巢黏液性囊腺瘤的鉴别诊断主要有哪几个?
关注下方微信公众号,搜题查看答案

热门试题
- 1、该患者的最后诊断是什么?2、室间隔缺
- 1、请解释胸腔积液的分类及其常见原因。2
- 1、若诊断为胎儿十二指肠梗阻,其声像图表
- 1、提示:如临床高度怀疑该患者为冠心病。
- 1、患者的诊断是什么?2、胎儿肾脏囊性病
- 1、皮下血管平滑肌瘤的临床及超声特征是什
- 1、最可能的诊断是什么?2、本病的影像特
- 1、该患者的超声诊断是什么?2、二尖瓣关
- 1、患者的诊断及依据是什么?2、该患者在
- 1、甲状腺髓样癌的特征性声像图表现有哪些
- 1、初步诊断是什么?2、请解释感染性心内
- 1、患者的诊断及依据是什么?2、鉴别诊断
- 1、初步应考虑到的疾病有哪些?2、为明确
- 1、根据病史及超声表现,诊断为什么?2、
- 1、该患者的超声诊断是什么?2、该患者肝
- 1、对于乳头溢液的女性患者应考虑哪些乳腺
- 1、该患者的超声诊断是什么?2、右侧睾丸
- 1、该患者的最可能诊断是什么?2、需要进
- 1、患者的超声表现有哪些?2、小肠淋巴瘤
- 1、可能的超声诊断是?2、提示:二维超声