试题详情
- [材料题] 患者,女,55岁,因“发现右侧耳后皮下肿物1年余”到医院就诊。入院查体:于右侧耳后触及一大小约3.0cm×2.0cm×2.0cm的皮下包块,其表面皮温正常,肿块光滑,边界清楚,活动可,质韧,无压痛。
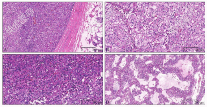
B超示:右耳前腮腺内探及一实性低回声结节,大小约2.4cm×1.4cm×1.0cm,形态规则,界清。病理检查:肉眼见带涎腺灰褐色不规则组织一块,体积共2.5cm×2.0cm×1.0cm,多切面切开见一类圆形肿块,大小1.5cm×1.0cm×0.8cm,包膜完整,切面呈结节状,黄褐色、实性、质中,与周围涎腺组织分界清楚;镜下肿瘤呈结节分叶状、界清、包膜完整,与涎腺腺泡分界清楚(图1A);瘤细胞呈腺泡状、小梁状及巢状排列,部分呈腺腔样;肿瘤细胞圆形、多角形或立方形,胞浆丰富透亮、其内可见散在粉染的嗜酸性细颗粒样物(图1B),少量肿瘤细胞于细胞膜周围可见不同数量的嗜酸性胞质聚集,细胞体积较小,胞浆嗜酸性,细颗粒密集,色暗红、深染(图1C),部分区域可见肿瘤细胞由嗜酸性细胞向空泡状透明细胞移行过渡;细胞核小圆,居中,大小均一,可见核仁,未见核分裂;肿瘤间质疏松水肿,由大量管腔扩张、形状不规则的壁薄微血管及极少许纤细的纤维条索构成。部分微血管呈辐轮状,其内充满红细胞;部分纤维间质水肿或玻璃样,并形成散在不规则腔隙,其内可见粉染的黏液(图1D),部分区域可见散在少量淋巴细胞浸润。病理诊断:嗜酸细胞腺瘤(透明细胞型)。

- 简答题1、该患者嗜酸细胞腺瘤的发病机制是什么?
关注下方微信公众号,搜题查看答案

- 简答题2、该患者嗜酸细胞腺瘤的临床表现有哪些?
关注下方微信公众号,搜题查看答案

- 简答题3、诊断嗜酸细胞腺瘤的辅助检查手段有哪些,各有什么表现?
关注下方微信公众号,搜题查看答案

- 简答题4、嗜酸细胞腺瘤的病理组织学形态有哪些特点?
关注下方微信公众号,搜题查看答案

- 简答题5、嗜酸细胞腺瘤需要与哪些疾病鉴别,鉴别要点是什么?
关注下方微信公众号,搜题查看答案

- 简答题6、该患者嗜酸细胞腺瘤的治疗方法和预后如何?
关注下方微信公众号,搜题查看答案

热门试题
- 请简述PCL(牙齿近中漂移)的危害?
- 请简要说明钛网暴露的发生率和分类?
- 1、上颌前磨牙多生伴同侧尖牙迟萌的病因有
- 请简要说明微创拔除埋伏阻生智齿的手术步骤
- 请简述上颌窦间隔对成骨的影响及其在上颌窦
- 请简述影响数字化口内扫描精度的环境因素有
- 在数字化美学资料的整合过程中,如何将二维
- 1、该患者钙化上皮瘤的病因是什么?2、患
- 请简述针对固定义齿修复数字化口内扫描的推
- 请简述美学修复宏观决策包括哪些步骤?
- 简述构音器官运动训练的具体内容包括哪些?
- 请简述上颌窦假性囊肿的定义、发病率、形成
- 昼夜节律具有普遍性和个体性,这种特性对实
- 请简述PCL(牙齿近中漂移)的原因及相关
- 请简要说明黏膜给药中成药在临床使用中可能
- 请简述影响数字化口内扫描精度的仪器设备因
- 请简述钛网暴露是钛网支撑的引导骨再生(T
- 请简要说明黏膜给药中成药在不合理用药风险
- 简述生物钟指导下的 口腔鳞癌(OSCC)
- 请简要说明微创拔牙的术前准备流程,包括术