试题详情
- [材料题] 患者男性,42岁。因阵发性头痛、心慌、出汗10年,步态不稳、视力下降2年就诊。患者10年前出现头痛,伴有全身大汗淋漓、心慌,面色苍白伴乏力,持续3~5分钟后可自行缓解。该症状1~2天或1~2个月发作1次,多于情绪激动、运动或饮咖啡后出现,患者未予重视。近2年出现步态不稳、视力显著下降,到眼科就诊,眼底检查提示高血压性眼底改变,右视盘及视网膜血管瘤出血,予激光治疗。测血压230/160mmHg(1mmHg=0.133kPa)。建议泌尿外科就诊进一步检查。
- 简答题1、患者最可能的诊断是
关注下方微信公众号,搜题查看答案

- 简答题2、患者需要进一步完善具有重要诊断价值的影像检查是
关注下方微信公众号,搜题查看答案

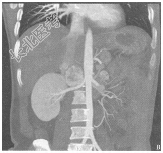
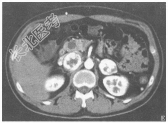
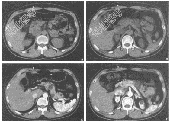
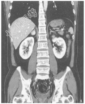
- 简答题3、患者的腹部+盆腔CT检查结果见图4、图5。患者目前可能的诊断是

关注下方微信公众号,搜题查看答案

- 简答题4、为进一步明确诊断,需要做的血生化检查是
关注下方微信公众号,搜题查看答案

- 简答题5、患者内分泌检查结果如下,24小时尿儿茶酚胺:肾上腺素(E)55.47μg/24h,去甲肾上腺素(NE)167.93μg/24h,多巴胺(DA)286.52μg/24h。血甲氧基肾上腺素(MN)65.8ng/L(14~90ng/L),血甲氧基去甲肾上腺素(NMN):4753.2ng/L(19~121ng/L)。患者肿瘤多发,为进一步从影像角度明确肿瘤的功能定位,并明确有无其他部位多发肿瘤,可选择的检查是
关注下方微信公众号,搜题查看答案

- 简答题6、¹³¹I-MIBG显像:双侧肾上腺区及右腹膜后异常放射性增高区占位病变,考虑嗜铬细胞瘤可能大。奥曲肽生长抑素受体显像:左肾上腺区及右腹膜后生长抑素受体高表达病灶,考虑为神经内分泌肿瘤。患者拟行手术治疗,在术前准备中,主要的可选药物是
关注下方微信公众号,搜题查看答案

热门试题
- 1、患者阴道渗出物最可能为2、目前患者最
- 1、可能的诊断有2、为进一步明确诊断,可
- 1、考虑该患者的诊断是2、查体:体温36
- 1、可能性最大的诊断是2、为了明确诊断,
- 1、诊断应首先考虑为2、该疾病可能的病因
- 1、与隐睾的发生可能相关的因素包括2、为
- 1、在尿动力学检查之前,应完善哪些检查2
- 1、请叙述导尿及注水试验的意义2、该患者
- 1、患者T39℃,血常规:HB12g/L
- 1、患者最可能的诊断是2、患者需要进一步
- 1、该患者入院后的检查项目中,有诊断和鉴
- 1、该患者需进一步完善具有重要诊断价值的
- 1、该患者下一步需做的检查是2、该患者行
- 1、初步应做哪些检查2、IPSS=22分
- 1、该患者的尿失禁应属于2、尿动力学检查
- 1、该患者的正确诊断是2、该疾病的影像学
- 1、患者可能的诊断是2、患者完善了腹部+
- 1、首先对患者采取何种处理最合适2、该患
- 1、有诊断意义的进一步临床检查包括2、患
- 1、哪些检查对进一步明确诊断有意义2、该