试题详情
- [材料题] 患者,男,40岁。主因腹痛、恶心伴呕吐以及停止排便4天入院。患者除既往腰椎间盘突出症手术史外,无已知其他疾病史。
体检发现患者腹部膨隆,无肌紧张和反跳痛。实验室检查显示C反应蛋白(CRP)升高,为57.84mg/L,白细胞计数升高,为12.84×10⁹/L,其他血液学参数正常。
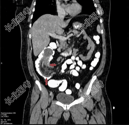
腹部X线平片发现1/2气液平面。进一步腹部CT扫描发现回肠结肠套叠,即外周肠袢低密度,中央为肠系膜脂肪组织。近端软组织密度可见管腔充盈缺损,在小肠袢内发现微小的扩张,直径为3cm,符合肠套叠和肠梗阻的诊断。

- 简答题1、腹部疼痛、恶心、呕吐和停止排便的症状是什么?
关注下方微信公众号,搜题查看答案

- 简答题2、患者的体格检查有何特点?
关注下方微信公众号,搜题查看答案

- 简答题3、实验室检查结果显示哪些指标异常?
关注下方微信公众号,搜题查看答案

- 简答题4、腹部X线平片发现了什么?
关注下方微信公众号,搜题查看答案

- 简答题5、CT扫描发现了什么?
关注下方微信公众号,搜题查看答案

热门试题
- 1、最可能的初步诊断是什么?列举两项支持
- 1、该患者的诊断为2、该疾病变的主要位于
- 1、该患者可能是腹腔哪个脏器损伤?依据是
- 1、患者可诊断为,诊断依据有哪些2、该患
- 1、主要考虑疾病是2、应予面哪些检查3、
- 1、最可能诊断为,诊断依据有哪些2、该患
- 1、诊断与诊断依据为?2、需与哪些疾病相
- 1、首先考虑的诊断是什么?2、对此患者的
- 1、该患者初步诊断的结果是什么?2、该患
- 1、主要考虑哪些疾病2、入院后应予以那些
- 1、该患者最可能的诊断是,并给出诊断依据
- 1、该患者诊断为?2、提出针对此疾病的初
- 1、诊患者断应考虑为2、首先要做的检查包
- 1、该患者的诊断及诊断依据为?2、该患者
- 1、什么是 Mirizzi 综合征?2、
- 1、该患者初步诊断的结果是什么?2、该患
- 1、该患者初步诊断的结果是什么?2、该患
- 1、该患者初步诊断的结果是什么?2、该患
- 1、目前考虑的诊断是什么?2、该疾病的临
- 1、最可能的诊断是,诊断依据有哪些?2、