试题详情
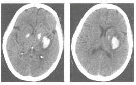
- 单项选择题女,68岁,突发右侧肢体轻度偏瘫,高血压病史多年,平扫CT检查如图,最可能的诊断是

A、脑炎
B、脑出血
C、脑脓肿
D、脑梗死
E、胶质瘤
关注下方微信公众号,搜题查看答案

热门试题
- 以下血液成分中,适用于血友病A的是A、全
- 1、该患者激素治疗半年后,效果不佳,首先
- 关于aVR导联的连接方式,无误的是A、右
- 当前推荐测量ST段抬高或压低的参考水平为
- 131I治疗甲亢,最常见的并发症为A、诱
- 1、该患者最可能诊断为2、此患者初始使用
- 关于消化性溃疡的临床症状,错误的是A、消
- 阿米巴痢疾时粪便呈A、鲜血便B、胨状便C
- 改善重症肌无力症状的药物为A、抗生素B、
- 肾病综合征患者,近1周来发热、尿频。查尿
- 肝硬化患者食管静脉曲张破裂大出血后发生的
- 男患,30岁,农民,上腹隐痛4年,与饮食
- 以下关于糖尿病肾病高血压的描述不正确的是
- 临床表现以门脉高压为主,肝功损害轻的肝硬
- 某慢性粒细胞白血病患者,近期出现高热、贫
- 有利于急性肾炎诊断的血液生化改变为A、血
- 对糖尿病合并高血压患者常需联合降压,其方
- 对于缺铁性贫血患者的表现,以下哪项不正确
- 消化性溃疡X线钡餐检查征象中对溃疡有确诊
- 以下不属于成分输血的是A、输注冷沉淀B、