试题详情
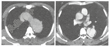
- 单项选择题男,67岁,胸骨后撕裂样疼痛1小时就诊。主动脉CT增强扫描图像如下,应诊断是

A、主动脉弓动脉瘤
B、主动脉硬化
C、主动脉未见异常
D、主动脉夹层动脉瘤
E、以上均不正确
关注下方微信公众号,搜题查看答案

热门试题
- 正常成人的PR间期为A、0.08~0.2
- 糖尿病神经并发症中,最常见的为A、神经根
- 女性,45岁。高血压病史10余年,本次因
- 1、该患者的诊断最可能为2、该患者正确的
- 1、应诊断为2、本病进一步分型为3、GR
- 肠内营养的输入,以下哪一项不正确A、适应
- 以下不能作为早期肾损伤的指标的是A、尿I
- 狼疮样物质(LA)筛查试验原理,以以下哪
- 链球菌感染后急性肾小球肾炎活动期的主要治
- 关于溶血性贫血以下哪项正确A、尿中尿胆素
- 下列各项中,对甲亢最可靠的诊断依据是A、
- 肝硬化的诊断以下哪项最可靠A、白蛋白/球
- 关于正常人PR段的叙述,不正确的是A、心
- 男性患者,52岁,身高170cm,体重8
- 关于肝硬化失代偿期病人的检查,以下哪项不
- 肝硬化患者腹水呈血性,但无腹痛与发热,应
- 急性肾小球肾炎早期,肾小球滤过功能A、正
- 何种比值对判断肝炎的转归特别有价值A、L
- 癫痫发作后出现Tbdd瘫痪可提示A、癫痫
- 某患者男性,1型糖尿病,2天前因自行中断