试题详情
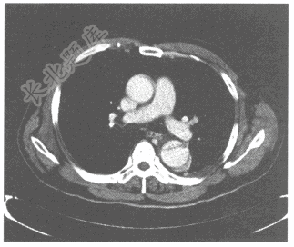
- 单项选择题男,55岁。突发胸痛就诊。胸部动脉CT造影如下图,可诊断是

A、主动脉血栓
B、主动脉夹层(DeBakeyⅡ型)
C、主动脉夹层(DeBakeyⅠ型)
D、主动脉瘤
E、主动脉夹层(DeBakeyⅢ型)
关注下方微信公众号,搜题查看答案

热门试题
- 糖尿病酮症酸中毒昏迷时,在哪种情况下应予
- 肝硬化合并腹水病人,一般每天进水量是A、
- 1、10~14天2、2~3个月3、3~4
- 1、该患者诊断为2、恰当的降压药治疗方法
- 支气管哮喘的临床特征A、夜间阵发性呼吸困
- 患者女,45岁。因发热、皮肤黏膜出血1周
- 某患者男性,45岁。既往有糖尿病史5年,
- 高血压死亡原因最常见的为A、肾衰竭B、脑
- 在输注血小板时,以下方法错误的是A、暂不
- 1、考虑诊断是2、主要治疗选择3、若妊娠
- 患者,女,23岁。发热,口腔溃疡,多关节
- 以下情况不属于肠外营养脂肪乳剂应用禁忌证
- 肝硬化合并上消化道大出血,经治疗止血后,
- 当前认为对冠心病猝死有预防价值的药物A、
- 1、该患首先应考虑的诊断是2、进一步应先
- 急性胰腺炎伴手足搐搦患者,经静注10%葡
- 微小病变型肾病综合征A、肾小球基膜糖蛋白
- 患者男,61岁,2型糖尿病,合并高血压,
- 重症肌无力造成无力的原因为A、使胆碱酯酶
- 贫血时最常见和最早出现的症状、体征为A、