试题详情
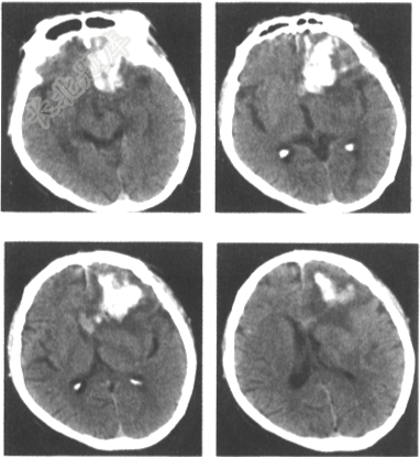
- 单项选择题男,47岁,外伤后CT检查所见如下图,最可能的诊断是

A、胶质瘤
B、钙化灶
C、脑膜瘤
D、脑出血
E、脑转移瘤
关注下方微信公众号,搜题查看答案

热门试题
- 加温血液的温度不宜超过A、35℃B、30
- 以下哪项是手术治疗甲亢的禁忌证A、胸骨后
- 对于创伤出血患者,术后1天经检查没有活动
- 病毒性心肌炎可出现以下哪项表现A、Osl
- 哪项检查对肝硬化的肝功能判断最具有意义A
- 消化性溃疡病史患者,近日感上腹部疼痛加重
- 急性下壁心肌梗死最常见的心律失常是以下哪
- 肝硬化代偿期的临床表现最早出现的是A、上
- 实验室检查结果为:红细胞平均体积(MCV
- 1、以下哪项试验为该患者首选的筛检试验2
- T波低平的定义是A、T波振幅小于同导联R
- 关于无菌术的叙述中,以下哪项是正确的A、
- 能够鉴别原发性纤溶和继发性纤溶的检查项目
- 用于临床上的3种白蛋白制剂浓度分别为A、
- 链球菌感染后急性肾小球肾炎活动期的主要治
- 发生溶血性输血反应时,检验值降低的是A、
- 在标准心电图纸速(25mm/s)的情况下
- 测量QT间期通常应选择的导联是A、V2导
- 男,38岁,颈部外伤后2小时,颈部疼痛、
- 某患者尿量为2000ml/d,尿比重为1