试题详情
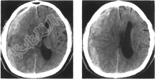
- 单项选择题男,74岁,外伤1小时,意识模糊。颅脑CT平扫如图,最可能的诊断是

A、蛛网膜下腔出血
B、脑内血肿
C、硬膜外血肿
D、脑梗死
E、急性硬膜下血肿
关注下方微信公众号,搜题查看答案

热门试题
- 在心电图上计算心率,如PP间距为0.8s
- 在糖尿病的诊断分型中,以下哪项检查最有意
- 成人,外伤后1小时,CT检查如下图所示,
- 肝硬化代偿期的临床表现最早出现的是A、上
- 在肝硬化腹水的治疗中以下哪项不宜采用A、
- 在高血压急症治疗药物中,降压最迅速的是A
- 1、漏出液体的性质是2、为了减少空肠漏出
- 以下哪项结果是不符合原发性血小板减少性紫
- 下述哪一项关于系统性红斑狼疮的叙述是错误
- 以下不属于血浆代用品的是A、含4%琥珀酰
- 患者男性,21岁,咽部不适3周,水肿、尿
- 急性胰腺炎伴手足搐搦患者,经静注10%葡
- 缺铁性贫血病人发生Plummer-Vin
- 患者,男,52岁。有高血压病史8年,近1
- 关于右胸导联心电图的叙述,不正确的是A、
- 女性,32岁。严重烧伤需要输注血浆,当地
- 以下哪种疾患不会出现血浆纤维蛋白原(Fg
- 最常见的大细胞性贫血是 ( )A
- 产前出血中,何种情况一旦发生胎儿死亡率极
- 以下哪项是肠外营养本身的并发症( )