试题详情
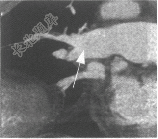
- 单项选择题男性患者,79岁。呼吸困难就诊。CT肺动脉造影如下图,可考虑为

A、慢性肺动脉栓塞
B、肺动脉高压
C、急性肺动脉栓塞
D、肺动脉狭窄
E、肺动脉损伤
关注下方微信公众号,搜题查看答案

热门试题
- 下列哪种抗心律失常药物属IA类A、吡二丙
- 关于甲亢性心脏病,以下不恰当的是A、甲亢
- 肝硬化血清免疫学检查增高最显著者是A、I
- 细菌性痢疾时,粪便镜检常可见到较多的吞噬
- 关于肝硬化肝脏大小改变,以下叙述正确的是
- 全胃肠外营养的糖代谢异常并发症,包括A、
- 女性,45岁。高血压病史10余年,本次因
- 肠外营养发生中心静脉导管感染及脓毒症的叙
- 不符合慢性胰腺炎时胰腺外分泌功能不足的是
- 对于SLE下列哪项正确A、90%病人死于
- 用于临床上的3种白蛋白制剂浓度分别为A、
- 以下哪种心律失常有器质性心脏病的可能性最
- 1、患者最可能的并发症是2、为尽快明确诊
- 病毒性心肌炎可出现以下哪项表现A、Osl
- 患者男,61岁,2型糖尿病,合并高血压,
- 1、胰性霍乱化验检查可能出现2、重症胰腺
- 关于重症急性胰腺炎的治疗措施,以下说法错
- 女性患者,46岁。发现血压增高7年,血压
- 与SLE疾病活动性相关的抗体是A、抗RN
- 出现溶血反应时,以下紧急处理方法中不正确