试题详情
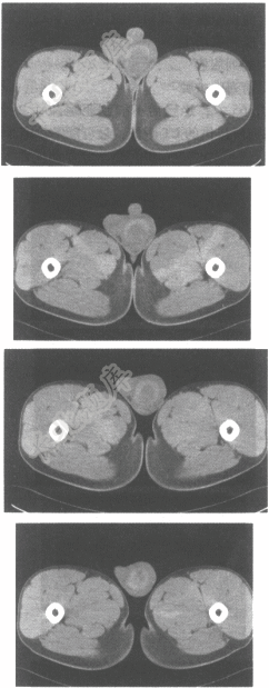
- 单项选择题男,20岁,外伤1天,左侧阴囊肿痛,结合CT平扫图像,最可能的诊断为

A、腹股沟疝
B、睾丸炎
C、睾丸血肿
D、睾丸囊肿
E、睾丸肿瘤
关注下方微信公众号,搜题查看答案

热门试题
- 1、患者首选门诊检查项目是2、最有助于初
- 观测心脏转位的方法A、从前向后观测B、从
- 血清抗线粒体抗体阳性最主要见于A、原发性
- 1、血糖升高,尿糖阳性,空腹血浆胰岛素水
- 患者,男性,65岁,患糖尿病15年,长期
- 肝硬化门脉高压的临床表现下列哪项不正确A
- 慢性阻塞性肺疾病的主要特征应为A、双肺哮
- 再生障碍性贫血和急性粒细胞白血病的鉴别主
- 1、应在嘱患者进行以下哪项动作后再测心率
- 1、若确诊首先应进行2、若骨髓穿刺结果示
- 29岁经产妇,孕36周,早晨起床时发现阴
- 以下关于妊娠期糖尿病的说法哪项是错误的A
- 在胰岛素治疗糖尿病的过程中出现Somo-
- 以下能杀死细菌芽胞的方法是A、煮沸灭菌1
- 消化性溃疡患者出现下列哪一情况需紧急手术
- 甲亢患者既往有哮喘史,以下哪种药物不宜使
- QTc的计算公式为A、
- 初产妇,28岁,妊娠36+周,发现血压升
- 高比密尿可见于以下疾病或情况,应除外A、
- 1、根据糖尿病足Wagner分级法,该患