试题详情
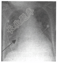
- 单项选择题男性患者,70岁。因呼吸困难、咳出泡沫样痰入院。胸部X线平片如下图。右中肺野斜行线状影(箭头)为

A、Kerley C线
B、盘状肺不张
C、Kerley A线
D、胸腔积液
E、Kerley B线
关注下方微信公众号,搜题查看答案

热门试题
- 女性患者,60岁,意识不清1小时,血压:
- 下列选项不属于肠内营养并发症的是A、腹泻
- 预激综合征时最常伴发的心律失常为A、房室
- 缺铁性贫血发病过程中最敏感或可靠的检验方
- 对有心衰的消化性溃疡者不宜用A、三矽酸镁
- 1、首先考虑的诊断为2、如诊断急性胰腺炎
- 正常人血浆纤维蛋白原含量是( )A、
- 急性胰腺炎时,血清脂肪酶升高可持续A、1
- 原发性胆汁性肝硬化确诊后首选的治疗药物为
- 1、该女性PR间期的范围为2、该女性QR
- 能否定胃及十二指肠消化性溃疡的是A、无临
- 对于慢性型特发性血小板减少性紫癜,哪一项
- 右旋糖酐每日最大用量为A、2500mlB
- 输血的功用并应除外A、提高血浆蛋白B、杀
- 病毒性心肌炎表明有心肌损伤最敏感且特异的
- 1、晚期肝硬化最严重的并发症为( )
- 以下各项不支持非胰岛素依赖型糖尿病者为A
- 能反映短期内机体营养状态变化的指标应为A
- 病人有轻度甲状腺功能亢进症状,血清总甲状
- 留置导尿管3天以上引起尿路感染的机会可达