试题详情
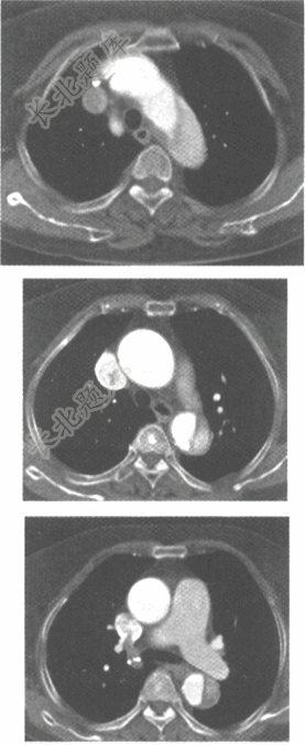
- 单项选择题男,67岁,突感胸腹部疼痛就诊。既往高血压病史。CT检查如下图,最可能的诊断是为

A、主动脉夹层(Stanford A型)
B、主动脉夹层(Stanford B型)
C、动脉硬化
D、大动脉炎
E、主动脉瘤
关注下方微信公众号,搜题查看答案

热门试题
- 28岁已婚妇女,结婚3年未孕,现停经52
- 结缔组织病中最易累及肾损害的是A、类风湿
- 胸腔积液体征应除外A、胸廓饱满B、呼吸音
- 某慢性粒细胞白血病患者,近期出现高热、贫
- 肠外营养最严重的穿刺技术性并发症为(
- 患者,女,32岁。因发热、皮肤出血2周来
- 尿中红细胞管型多见于A、急性肾衰竭B、急
- 急性坏死性胰腺炎的休克原因很多,哪项是不
- 患者女,45岁。因发热、皮肤黏膜出血1周
- 关于幽门管溃疡的叙述,正确的是A、多不能
- 特发性血小板减少性紫癜表现是A、无出血亦
- 原发性肾病综合征,血中不增高的是A、三酰
- 输血反应应除外A、细菌污染B、溶血反应C
- 病毒性心肌炎中最容易侵犯的病毒是A、流感
- 1、高血压危象的表现为2、急进性高血压的
- 28岁经产妇,妊娠39周,今晨5时突然出
- 患者女,35岁。因头晕、乏力、面色苍白1
- 输血相关性移植物抗宿主病(TA-GVHD
- 1、先不需要考虑的检查项目为2、如尿红细
- 1、提问:病人出现右心功能不全最早出现的