试题详情
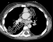
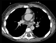
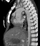
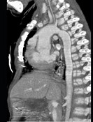
- 多项选择题患者,男性, 8岁,发绀、气促, 易感冒,彩超提示只见一个心室, CT检查如图所示,请选择正确的选项 ( )

A、考虑二尖瓣狭窄
B、右前斜位示左心房增大,心后上缘后突压迫冲钡食管
C、左前斜位示心影向后下方突出
D、考虑三尖瓣狭窄
E、缩窄性心包炎
关注下方微信公众号,搜题查看答案

热门试题
- 心肌灌注显像中反向再分布现象除外以下哪几
- 1、该患者的心电图表现符合2、应立即给予
- 1、此患者可能的诊断是( )2、糖尿
- 心血管疾病康复时运动处方的要点有(
- 1、该患者应该考虑的疾病有( )2、
- 高血压急症时下列哪项药物可以选用A、硝普
- 心力衰竭时减轻心脏负荷的正确的治疗措施有
- 下列情况最易合并感染性心内膜炎的是A、心
- 关于急性心肌梗死所致的急性左房室瓣关闭不
- 严重的主动脉瓣狭窄引起心肌缺血的机制是A
- CHA2DS2-VASc评分系统的内容不
- 心脏康复治疗分阶段为( )A、住院期
- 下列各种心律失常中,哪些不适合洋地黄A、
- 关于典型预激综合征,叙述正确的有(
- 关于Holter记录的双极模拟导联描述中
- 以下符合心脏神经症现代观念的有( )
- 经皮冠状动脉支架植入能给稳定型心绞痛患者
- 1、应该考虑的疾病有( )2、(提示
- 保证心脏骤停患者存活的生命链包括A、尽早
- 下列哪些体征提示动脉狭窄的可能A、动脉搏