试题详情
- [材料题]
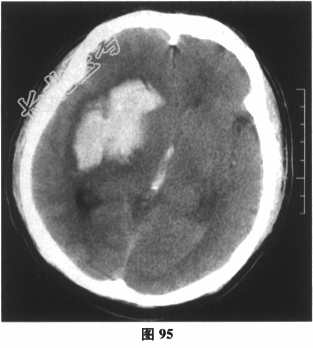
患者男性,50岁。主诉:言语不利、左侧肢体无力3小时。现病史:患者3小时前与家人发生争执后出现言语不利、流涎,同时出现左侧肢体无力,不能行走,头部持续胀痛,遍及整个头部,频繁呕吐,喷射性,为咖啡色胃内容物。家人急送当地医院急诊,神经系统检查:神志清楚,构音不清,双侧瞳孔等大等圆,对光反应灵敏,各方向运动充分,左侧鼻唇沟浅,伸舌左偏。左侧上肢肌力2级,左下肢肌力0级,左侧Babinski征(+),颈无抵抗。既往史:高血压病史10余年,平素不规律服用降压药物。
当地医院急诊测血压为220/130mmHg,查颅脑CT(图95)。

- 多项选择题1.急诊除了查患者头颅CT外,还应常规检查
A、血常规
B、凝血功能
C、血电解质、血糖
D、脑PET
E、心电图,有条件的话,行心电监护检测,建议查Glasgow评分
F、冠状动脉造影
G、胃内容物潜血
关注下方微信公众号,搜题查看答案

- 多项选择题2.对患者的治疗应包括
A、维持水盐电解质平衡
B、按照指南,积极控制血压
C、预防性给患者使用抗癫痫药物,防止发生抽搐
D、如果胃内容物潜血阳性,则针对胃出血进行处理
E、使用抗生素,预防感染
F、脱水降颅压
G、让患者卧床休息,保持环境安静,二便通畅,注意营养
关注下方微信公众号,搜题查看答案

- 多项选择题3.如果患者突然出现病灶侧瞳孔散大、昏迷,应该高度怀疑
A、脑室出血
B、枕骨大孔疝
C、海马沟回疝
D、小脑幕裂孔上疝
E、小脑扁桃体疝
F、心脏衰竭
关注下方微信公众号,搜题查看答案

- 多项选择题4..如果出现第3问的情况,应该
A、立即进行心肺复苏
B、行头颅MRI检查
C、加强脱水降颅压的同时,紧急请神经外科行手术治疗,减轻脑内压迫
D、使用营养神经的药物,密切观察病情变化
E、请眼科会诊
F、输入新鲜血浆,补充凝血因子,加强止血治疗
G、上呼吸机
关注下方微信公众号,搜题查看答案

热门试题
- 1、患者入院后应常规检查A、心电图B、动
- 1、该患者最可能的诊断是( )2、该
- 1、该病人最可能的心律失常是A、房性心动
- 下列可用来表示心室肌前负荷的是:A、心室
- 长期高血压会引起全身小动脉病变,主要表现
- 关于β受体阻滞剂治疗心功能不全的正确说法
- 1、应考虑下列哪些疾病2、为明确诊断,进
- 亚急性感染性心内膜炎赘生物常位于A、二尖
- 与窦房结细胞4期自动除极有关的离子通道为
- 可以导致QT间期延长进而引起尖端扭转性室
- 1、该患者最可能的诊断是2、该患者已接受
- 心力衰竭患者首次就诊病史询问包括A、日常
- 1、感染性心内膜炎最常发生于下列哪种情况
- 1、晕厥最可能的原因是2、为明确诊断,最
- 下列引起心肌炎非感染性因素有A、变态反应
- 出现某些情况时,应终止心电图运动试验,包
- 1、该病例最可能的诊断为 ( )
- 渗出性心包炎病因有A、结核性心包炎B、肿
- 出现下列哪些临床表现,可以诊断患者出现的
- 下列哪些选项是蛋白性凝血因子A、Ⅻ因子B