试题详情
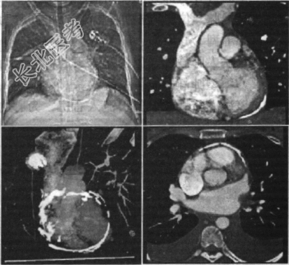
- 多项选择题58岁男性患者,曾患肺结核, 心悸气促乏力,下肢肿胀半年余, 胸部CT扫描如下图,描述正确的是

A、心包钙化显著时也可称之为“盔甲心”
B、心包钙化多见于结核,X线、CT、超声为常用检查方法
C、超声心动检查见心包不规则增厚、回声增强,多以房室交界处最为显著,厚度多大于3mm,有僵硬感,心脏的局部或整体活动受限,室壁舒张受限尤其明显
D、MRI显示增厚的心包较X线、CT优越,但是对心包钙化不敏感
E、考虑为缩窄性心包炎
关注下方微信公众号,搜题查看答案

热门试题
- 顽固的继发性高血压常见的有A、皮质类固醇
- 患者,女性, 74岁。有高血压病史,一直
- 以下哪项与心脏性猝死有关A、冠状动脉粥样
- 心肌灌注显像临床应用于哪些情况A、冠心病
- 1、除硝普钠外还应选用下列哪组药物治疗2
- 1、患者入院后应常规检查A、常规心电图(
- 以下关于五大类常用降压药的作用特点叙述正
- 心脏的传导系统包括A、普肯耶纤维网B、窦
- 下列哪几项是心室肌细胞具有的生理特性(
- 1、据病史及心电图考虑诊断是2、下列采取
- 遗传相关的心血管病有( )A、风湿性
- 1、根据患者临床表现应与下列哪些疾病加以
- 1、患者入院后首先应完成的检查项目包括A
- 1、患者体检对诊断有意义的应是A、肝脏扩
- 1、根据患者心电图的表现可诊断2、针对该
- 在高血压的科学降压,合理用药观点中,关于
- 心肺复苏患者应重点防治哪些并发症A、急性
- 复苏后治疗的最初目标包括A、进一步改善心
- 1、患者考虑诊断有2、首选治疗措施是3、
- 1、为明确诊断应立即进行的检查项目包括2