试题详情
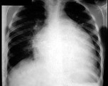
- [材料题] 男,24岁,反复胸闷气短4年,近1周加重,端坐时即感胸闷,伴咳嗽、下肢水肿,肝脏肿大。超声心动图示心脏扩大,室壁变薄,EF值20%,二尖瓣、三尖瓣中度反流。胸片如图所示。

- 多项选择题1.可能的诊断是 ( )
A、风湿性心脏病二尖瓣关闭不全
B、先天性心脏病
C、肺心病
D、心肌炎
E、扩张型心肌病
关注下方微信公众号,搜题查看答案

- 多项选择题2.患者心功能 ( )
A、NYHA心功能Ⅰ级
B、NYHA心功能Ⅱ级
C、NYHA心功能Ⅲ级
D、NYHA心功能Ⅳ级
E、Killlip分级Ⅱ级
关注下方微信公众号,搜题查看答案

- 多项选择题3.若经治疗,患者病情好转稳定, 需小剂量开始加用 ( )
A、倍他乐克(美托洛尔)
B、卡托普利
C、双氢克尿塞
D、地高辛
E、消心痛(异山梨酯)
关注下方微信公众号,搜题查看答案

- 多项选择题4.若经治疗,患者病情未能好转, 除下列哪项外,需要进行 ( )
A、查电解质,纠正电解质紊乱
B、加用速尿大量利尿
C、短期联合应用多巴胺与硝普钠
D、血常规查是否贫血
E、查看所用药物剂量剂型是否合适
关注下方微信公众号,搜题查看答案

热门试题
- 下列哪些心律失常可采用射频消融治疗A、房
- 1、患者入院后首先应完成的检查项目包括A
- 治疗慢性心力衰竭时,哪种药物需要从小剂量
- 1、其心电图诊断为 ( )A、一
- 1、首先作超声心动图检查,其目的是2、[
- 下列哪些叙述正确A、二尖瓣中度狭窄时,瓣
- 由于高血压治疗的长期性,使患者的依从性有
- 1、该患者最可能的诊断是( )2、该
- 口对口人工呼吸的要求是A、保持呼吸道通畅
- MODSE的治疗包括A、治疗原发病B、抗
- 老年血管性认知功能障碍的危险因素包括A、
- 心力衰竭时的病理生理变化是A、心脏的后负
- 1、最可能的诊断是2、下列检查可以作为确
- 1、本患者应诊断为( )2、该患者心
- 双腔起搏下,以较快频率起搏心房可减少或预
- 目前高血压的发病机制有哪几种说法A、胰岛
- 1、下列哪项发现有助于诊断 (
- 关于心源性休克,叙述正确的有( )A
- 1、最可能的诊断为2、下列哪项有利于该心
- AMI应用主动脉内球囊反搏术的适应证是A