试题详情
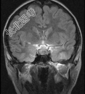
- 多项选择题鞍区肿瘤(如图所示)的临床表现包括 ( )

A、内分泌功能障碍
B、偏瘫
C、失语
D、视力、视野障碍
E、原发性视乳头萎缩
关注下方微信公众号,搜题查看答案

热门试题
- 下面有关脑血流前循环描述正确的是(
- 关于髓周动静脉瘘,描述不正确的有A、位于
- 1、为明确诊断,应进行的检查包括2、提示
- 1、最可能的诊断是2、引起该综合征的两条
- 内听道综合征可表现为A、同侧周围性面瘫B
- 关于狭颅症的表述正确的是A、病因目前尚不
- 立体定向手术的基本仪器和设备是A、定位器
- 关于脑血管病流行病学,表述正确的是A、我
- 骨折累及海绵窦时可致麻痹的脑神经有A、Ⅲ
- 有关脑底异常血管网病,下列正确的是A、又
- 属于脑卒中可控危险因素的有A、高血压B、
- 单纯性颅底骨折的临床表现是A、多呈线形骨
- 1、有关质膜微囊的表述,不正确的是2、质
- 可提示中枢性化脓性感染的指标是A、有导致
- 关于脑静脉畸形的表述正确的是A、是先天性
- 硬脑膜形成的结构是 ( )A、鞍
- 颅内动脉瘤直接手术,指开颅后在动脉瘤部位
- 1、应首先考虑的临床诊断是2、该患者最有
- 大脑半球连合系包括 ( )A、胼
- 颅内动脉瘤的治疗,正确的有 (