试题详情
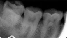
多项选择题引起智齿冠周炎的因素有 ( )

A、下颌第3磨牙阻生

B、下颌第3磨牙龋齿

C、食物残渣

D、感冒

E、咬合创伤

  • 关注下方微信公众号,搜题查看答案

热门试题