试题详情
- [材料题] 患者,男性,71岁,因“上腹痛1天”就诊。患者1天前无明显诱因出现上腹痛症状,呈持续性发作,疼痛性质不能叙述,与体位及饮食无明显关系,伴反酸、嗳气、恶心,无呕吐,无腹泻,无发热、寒战,无心慌、胸痛、呼吸困难等不适,持续约2小时后自行缓解。于当地医院就诊测心电图,心率40次/min,考虑ⅢAVB、病窦综合征,为进一步治疗收入院。患者自发病以来,精神欠佳,未进食,未排粪便,尿无明显异常,体重较前无明显变化。既往史:高血压病史20年,血压最高可至200/110mmHg,自服药物控制,监测情况不详。查体:T 37.8℃,P 82次/min,R 25次/min,BP 101/57mmHg;神志清楚,急性病容,皮肤巩膜轻度黄染,全身浅表淋巴结未扪及肿大,颈静脉正常,心肺未见异常,腹平坦、软,剑突下压痛,无反跳痛、肌紧张,肝脾肋下未触及,肠鸣音2次/min,双下肢无水肿。
- 多项选择题1.患者入院后应完善的检查包括
A、血气分析
B、空腹血糖和糖化血红蛋白
C、心电图运动试验
D、肝脏酶谱
E、心电图(ECG)
F、淀粉酶
G、D-二聚体
H、胸部X线片
I、冠状动脉造影
J、腹部CT
K、超声心动图(UCG)
关注下方微信公众号,搜题查看答案

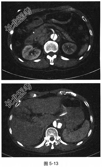
- 多项选择题2.[提示]ECG:窦性心律, HR38次/min,Ⅱ、Ⅲ、aVF导联ST段压低0.1mV。实验室检查: 外周血WBC 13.7×10⁹/L,N 0.873; ALT 180U/L,AST 146U/L, 白蛋白28.0g/L,血淀粉酶165U/L, 脂肪酶1117.0U/L。腹部增强CT见图5-13。
患者可能的临床诊断为 A、急性胰腺炎
B、房室传导阻滞
C、肝功能不全
D、急性心肌梗死
E、高血压病
F、急性胆囊炎
G、主动脉夹层
关注下方微信公众号,搜题查看答案

- 多项选择题3.[提示]腹部CT显示:主动脉内散在低密度血栓影, 可见内膜钙化内移,初始破口位于升主动脉, 范围累及胸主动脉至腹主动脉分叉处。 该患者的类型为
A、DeBakey Ⅱ型
B、局限性DeBakey Ⅲ型
C、广泛性DeBakey
D、DeBakey Ⅰ型
E、DeBakey Ⅲ型
关注下方微信公众号,搜题查看答案

- 多项选择题4.此疾病高危检测灌注不良的证据包括
A、尿量减少
B、脉搏短绌
C、低氧血症
D、主动脉舒张期杂音
E、局限性神经功能缺损
F、四肢收缩压差
G、低血压或休克
关注下方微信公众号,搜题查看答案

- 多项选择题5.对该患者的治疗原则为
A、如果没有禁忌证,应给予静脉内β受体拮抗剂治疗,并逐步调整到≤60次/min的目标心率
B、治疗糖尿病、冠状动脉粥样硬化性心脏病、高脂血症等伴随疾病
C、收缩压控制目标是100~120mmHg
D、如果患者有使用β受体拮抗剂的明确禁忌证,应采用非二氢吡啶类钙拮抗剂控制心率
E、适度运动
F、戒烟
关注下方微信公众号,搜题查看答案

热门试题
- 精神抑郁的临床表现包括( )。A、心
- 以下对异丙肾上腺素作用的叙述,正确的是(
- 急性亚甲二氧基甲基苯丙胺(摇头丸)中毒的
- 应对各类突发公共事件的工作原则是A、以人
- 低血容量性休克的特点有 ( )A
- 患者,男, 67岁。十二指肠溃疡病史,行
- 1、将躯体浸入水中,给予降温治疗时,下列
- 食管的生理狭窄部包括A、穿过膈肌处B、食
- 根据OCSP临床分型标准,完全前循环梗死
- 疑诊急性阑尾炎,有助于明确阑尾特定位置的
- 关于生理性起搏的叙述,正确的是A、频率应
- 1、为明确诊断应立即进行的检查项目包括2
- 一氧化碳中毒的治疗措施是 ( )
- 关于电击的治疗,正确的是 ( )
- 重症急性腹痛是指( )。A、伴失血性
- 尖端扭转性室性心动过速的治疗原则 (
- 多发伤的临床特点包括A、伤情复杂严重,诊
- 下列有关急诊科的设置注意事项,说法正确的
- 1、最可能的诊断是A、病毒性脑炎B、颅内
- 血管舒缩障碍性晕厥包括A、咳嗽性晕厥B、